성인 편측 및 양측 구순구개열 환자의 치조골 이식을 위한 배열과 상악궁 횡적 부조화 개선
-
홍미희
Alignment for alveolar bone graft and improvement of transverse discrepancy in adult patients with unilateral/bilateral cleft lip and palate
-
Mihee Hong
- ABSTRACT
-
Since 2019, orthodontic treatments of cleft lip and/or palate have been supported by the Korean National Insurance System. Based on the national claim data, more than 30% of fixed orthodontic treatments were provided to adult cleft palate patients. Their maxillary arches frequently were deformed and collapsed, and sometimes needed arch coordination for alveolar bone graft. Therefore, the treatment progress for two patients with unilateral/bilateral cleft palate was introduced, presenting improvement of inter-arch horizontal disharmony and dental alignment with fixed orthodontic appliances to enable iliac bone graft and implant prosthesis.
- 구순구개열은 선천성 안면기형 중에서 발생 빈도가 가장 높은 질환으로 알려져 있다[1]. 아시아에서 비교적 높은 발생률이 보고되었고, 우리나라에서는 출생아 1,000 명당 1.8명이라고 보고된 이래[2], 홍과 백은 10년 간의 의료보험 청구자료를 분석하여 1.74명이라고 발표하였다[3], 출산율의 급격한 하락과 인구 절벽이라는 상황에서, 이환된 환자의 지속적이고 포괄적인 생애주기별 치료에 그 어느 때보다 높은 관심이 필요하다.전국민의료보험 치과 보장성 강화 대책의 일환으로, 2019년 3월 구순구개열 치과교정 급여화에 따른 급여기준이 시행된 이래, 2021년 10월 선천성 악안면 기형 질환 중 쇄골두개골이골증(Cleidocranial dysplasia), 두개안면골이골증(craniofacial dysostosis), 크루존병(Crouzon disease), 첨두유합지증(Apert syndrome)에 대하여 급여화의 확대 적용을 거쳐[1], 2022년 11월부터 선천성 악안면 기형 전체로 폭 넓게 적용하게 되었다. 그러나, 급여 대상자 선정 시의 혼란을 최소화하고자, 선천성 기형 환자의 경우에도 (극)희귀질환으로 등록된 자 또는 이력이 있는 자로 한정하였으며, 구순구개열을 동반하는 선천성 악안면 질환의 경우, 두 가지 중 하나만 등록하여도 급여 혜택을 받을 수 있게 되었다[1].내부 통계자료에 근거하여, 경북대학교 치과병원 치과 교정과에 2008년부터 2017년에 걸쳐 내원한 구순구개열 신규 환자는 연간 10명 내외였으나, 2019년의 급여화 이후 급여대상자로 등록된 신규 환자수는 연간 16.6명으로 증가하였다. 앞으로는 선천성 기형 환자들의 신규 내원도 증가할 것으로 예상된다.표준 의료 행위는 출생 이후부터 성장기를 거쳐, 성장완료 이후의 악교정 수술을 포괄하는 생애주기별 교정치료 내용들을 포함하고 있다. 따라서, ‘참1 술전유아악정형장치치료’로부터, ‘참6 고정식 교정장치를 이용한 교정치료’의 순서로 진행하는 것이 일반적이다[1]. 신환의 경우, 생후 3개월 경의 입술 봉합과 1~2세에 행하여지는 구개열 수술과, 전치의 배열, 악궁확장 그리고 견치 맹출 이전에 수행되어야 하는 이차 치조골 이식술(Secondary alveolar bone graft)의 이력을 확인하게 된다. 일반적인 2차 골이식술, 즉 치조열의 골이식 시기는 6~10세로 영구견치의 치근 1/2~2/3 형성 시기를 놓치지 않는 것이 중요하며, 측절치의 맹출을 고려하는 조기 2차 골이식술을 고려할 수도 있다고 알려져 있다[4].그러나, 환자의 첫 교정과 내원 시점에서, 치조골이식술의 이상적인 골이식 시기를 이미 지난 경우이거나, 양측성 구순구개열의 경우에는 골이식을 받아야 하는 이환 부위가 커서, 적기에 이식을 받았다 하여도, 치조열을 회복시킬 충분한 골가교(Bone bridg)가 형성되어 있지 않는 경우도 적지 않다(Figure 1). 좌측은 편측성 구순구개열(Unilateral Cleft Lip and Palate) 환자로 교정치료 이력이 없으며, 치조골 이식술에 대한 설명은 들었으나, 실행한 적은 없는 성인 남자였고, 우측은 적기에 2차 치조골이식술을 받은 이력은 있으나, 치아의 결손 및 치조열이 잔존한 상태로 내원한 양측성 구순구개열(Bilateral Cleft Lip and Palate)의 성인 여성이었다.Hira 빅데이터개방포털(https://opendata.hira.or.kr/op/opc/olapDiagBhvInfoTab3.do)에 따르면, 2019년에서 2022년까지 고정식 교정장치를 부착으로 보험급여 청구된 환자의 33.9%가 20세 이상의 성인이었다. 고정식 교정장치 부착 환자 세 명의 한 명 이상은 성인이었다. 또한 상악 견치가 이미 맹출 된 15세 이상의 환자들에게도 동일한 문제가 발생할 수 있다고 가정하면, 1차 치조골 이식을 받지 못했거나, 추가로 필요한 환자들의 수는 적지 않을 것이다[5].Figure 1에서 보듯이, 구순구개열 환자의 치열에서는 치아 수, 형태 및 맹출 이상이 보고되어 왔다. Baek & Yang [6]은 결손치 56.8%, 과잉치 11,2%, 매복치 18.3%, 왜소치 15.8%의 발생빈도를 보고하였고, Lee & Son [7]은 결손치 26.5%, 과잉치 17.6%, 왜소치 67.6%를 보고하였고, 회전 치아는 64.7%에 달하였다. 따라서, 95% 이상의 구순구개열 환자들에게서 적어도 하나의 치아 기형(Dental anomaly)이 관찰되며, 결손치는 Class III 부정교합을 초래하는 데 기여할 수 있고, 악교정 수술을 계획할 때, 정중선의 일치나 상하악 악궁 조화 시에 치아치조의 불균형으로 인한 방해요소가 될 수 있다[8]. 더구나, 구순구개열 환자는 출생부터 악안면 성장이 진행되는 동안, 일반 교정환자들에 비해 잠재적으로 수복 가능성이 높고, Cleft(열)에 인접한 치아들은 변색되고 법랑질 형성부전이 된 작고 저광화된 경우가 종종 발생한다고 알려져 있다. 이러한 경우 교정용 브라켓 부착이 어려울 뿐 아니라 브라켓 제거 시 수복물에 손상이 생길 수도 있다[8].이러한 일반적인 특성을 더하여, 결정적으로 이차 치조골 이식의 최적 시기를 이미 지난 상태에서 여전히 치조열 부위에 골이식이 가능하도록 치아를 배열하는 것 그리고 여러 방향으로 수축되어 삼각형, 람다, 오메가의 형태를 보이는 상악궁의 형태를 하악궁과 대합이 가능하도록 조정하는 치료는 임상적 난제이다. 특히 오메가 형태의 악궁은, 전치부, 소구치부, 구치부 등 악궁의 부분마다 횡적인 부조화의 양과 방향이 일관되지 않아 단계적인 접근을 수행하여야 한다.따라서, 본 증례 보고는 두 가지 구순구개열 증례, 즉 편측성 및 양측성 구순구개열 (UCLP & BCLP)에서 상악궁의 형태를 재형성하면서, 치조골 이식을 수행한 과정을 소개하고자 한다.
- Case 1: Male Adult with Unilateral Cleft Lip and Palate
- Case 1: Male Adult with Unilateral Cleft Lip and Palate
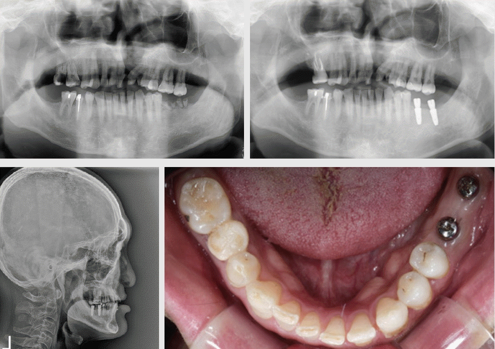
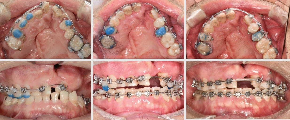
치과교정치료 이력이 없는 36세 성인 남성이 치과교정과로 의뢰되었다. 환자는 언어장애 2급 판정을 받았으며, 하악 좌측 대구치의 동통을 주소로 장애인 치료 센터를 내원하였다(Figure 2). 의과병력으로는 유아기에 구순열 및 구개열 관련 수술에 대한 가족의 진술이 있었다. 치료가 가능하지 않은 상악 좌측 제2 대구치와 하악 좌측 제1 및 제2 대구치 발치가 이루어졌고, 치주질환 및 치아 우식에 대한 치료가 진행되었다. 이어서, 하악 좌측 임플란트 식립과 2개월 뒤 이차 수술이 진행되었다. 이 시점에서, 상부 보철물 수복 공간이 부족하며 교합 및 치아위치 개선이 필요하다는 의견에 따라 치과교정과로 의뢰되었다.치과교정과로 의뢰되어 온 환자에게서 구순열 수술 이력을 확인할 수 있었고, CBCT 상의 Axial image에서는 상악 좌측 측절치의 결손과 치조열을 뚜렷하게 확인할 수 있었다. 상악궁 구강 내에서는 상악 우측 제2대구치의 발거, 상악 우측 제2소구치 결손, 상악 좌측 측절치의 결손 및 상악 좌측 유견치(또는 과잉치)의 잔존 치근이 관찰되었으며, 견치 후방에서 위치하였고 치아우식증에 이환 되어 있었다. 구강위생 관리에 대한 교육 및 보존적인 처치와 관리가 요구되었다. Lesser segment 인 좌측 소구치와 대구치의 악궁은 협설 방향으로 위축되어 전반적으로 람다 (λ) 형태의 상악궁 형태를 보였다.따라서, 구강악안면외과의 협진을 의뢰하여, 해당 잔존치근의 발거하였고, 치조골 이식술을 계획하였다. 구강외과 회신서는 "성장기 치조열 수술 시기를 놓치고... 매우 큰 편측성 구순구개열로...., palatoplasty, alveolar bone graftdhk cleft palate 수술 동반 예정 "이라고 하였다. 그리고, 골이식을 위하여 일차적인 치아의 배열을 요청하였다.Figure 4에서 관찰되듯이, 상악 우측 제2소구치와 좌측 측절치 결손을 동반한 치조열의 잔존과 구개열 수술의 결과로 인하여, 람다 (λ) 형태의 상악궁 형태는 상악과 하악의 횡적인 부조화를 야기시켰다. 이는 CBCT의 Coronal section상에서 확인되었듯이, 제1 대구치 위치의 양측성 구치부 반대교합으로 이어졌으며, 하악 좌측 구치부 임플란트의 크라운을 형성할 공간이 결여와 대합이 가능하지 않은 상황을 보여주고 있다. 구순구개열 환자의 포괄적인 진단과 치료 계획에 의한 치료의 아쉬움이 있지만, 하악 임플란트들이 최적의 위치에 식립 되었다는 전제 하에, 상악 제1 대구치 부위의 상악궁을 확장하여 횡적인 부조화를 개선할 것을 계획하였다.따라서, 전방의 골이식을 위한 확장 및 상악 제1 대구치 간의 폭경을 확장시키고자 Quadhelix를 장착하였고, 잠재적인 누공(fistula)의 확장을 최소화하기 위하여 천천히 조심스럽게 확장을 진행하였다. 상악 좌측 제2대구치는 오히려 폭경을 줄이기 위하여 Quadhelix 의 고리를 이용하여 악궁의 중심선 방향으로 견인하였다. 악궁 확장이 진행 과정에서, 필요한 경우에는 반대교합의 해소를 위하여 소구치 교합면 부위에 bite turbo를 적용하였다. 다행스럽게도 구개부의 누공(fistula)들이 확장되거나, 환자가 식사 시 불편감이 있다고 호소하지는 않았다. 상악 좌측 소구치에는 상악 제1대구치의 근심 회전을 막고자 부분적으로 최소한의 배열을 시도하였다(Figure 5).다음 단계로 전치부의 배열, 특히 상악 좌측 견치의 경사를 개선하고자 고정식 교정장치를 부착하고 microimplant를 활용하였다(Figure 6). Microimplant 고정원은 좌측 견치의 치축 개선, 소구치의 협측 이동, 구치부의 구개측 함입에 매우 유용하였다. 악궁의 형태는 삼각형에서 출발하여 점차 형태가 개선되었다 (Figure 6).상악 좌측 견치의 치축 개선을 위하여 greater segment에 대항하여 사용한 코일 스프링의 사용으로 인하여, 중절치의 우측 이동이 발생하였고, 하악 정중선과 일치하지 않은 상태이다. 더구나, 양측 상악 중절치는 6.5mm, 우측 측절치는 6.0mm의 폭경으로 일반적인 전치 폭경에 비해 왜소하다. 상악 좌측의 제2 대구치와 제2 소구치의 선천적 결손을 고려하면, 우측의 측절치 결손 부위는 임플란트 보철을 고려하는 것이 더 좋은 심미적 치료 대안이다. 중절치의 폭경이 평균보다 작고 보철과와 협진 하에 전치부 심미 보철과 임플란트 식립을 위한 재배열을 시행할 계획이다.악궁확장 및 악궁 배열 이후, 좌측 치조열과 전방 구개에 장골이식(iliac bone graft)을 시행하였고, 현재 양호하며, bone consolidation을 기다리고 있으며, 술후 6개월 이후 에 cleft 부위 골이식 공간에 임플란트 식립이 가능하다는 구강외과의 회신을 받았다(Figure 7).
- Case 2 : Female Adult with Bilateral Cleft Lip and Palate
- Case 2 : Female Adult with Bilateral Cleft Lip and Palate
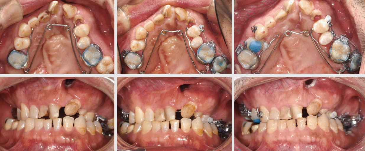
19세 여성이 치아배열을 바르게 하고 싶다는 주소로 내원하였다. 3세 경 수술 이력과, 10~11세에 양측 장골이식을 받았다고 하였다. 측모의 개선을 위하여 악교정 수술 대안을 설명하였으나, 발치나 더 이상의 큰 수술은 받고 싶지 않다는 의견과 함께, 교정적인 치료의 한계를 수용하기로 하였다.상순에서 구순열 수술을 확인하였고, 구개열의 수술도 관찰되었다. 장골 이식 이력은 진단서로 확인되었으나, CBCT 상에서 환자 좌측의 골성 가교만 확인할 수 있었다(Figure 8). 좌측 중절치와 양측 상악 측절치의 결손과 과잉치가 관찰되었고, 상악 우측 중절치는 형태 이상이 관찰되었다. 추가적인 골이식과 보철적인 수복의 필요성을 설명하고, 구강외과와 보철과와 협진 하에 치료계획을 수립하였다.상악 구치부의 횡적 부조화를 해결하고자, 상악 제1 대구치에 TPA를 삽입하여 폭경을 감소시켰다(Figure 9). 상악 제2 대구치는 부분 설측 강선 및 microimplant를 활용하여 회전을 조정하고, 폭경을 감소시켰다. Microimplant는 식립 후 동요도로 인하여 일시적으로 사용할 수 밖에 없었다(Figure 11).구강외과의 협진으로 과잉치를 발거하고, 순차적으로 장골 이식을 시행하였다. 그 결과 상악 전치 양측으로 골성 가교를 확인할 수 있었으나, 상악 우측 부위는 충분한 가교를 형성하지는 못하였고 중절치 역시 상악 우측 형태를 띠고 있어, 상악 중절치를 악궁의 우측으로 이동시키고, 양측 견치를 전방으로 견인하면서, 좌측 중절치 위치에 임플란트의 식립을 결정하였다(Figure 10).상악 좌측 중절치 위치에 3.5mm * 8.5mm 임플란트가 식립하였고, 이차 수술 후, 임치 치관 장착하였다(Figure 11).
- 마무리하며
- 마무리하며
편측성 및 양측성 구순구개열 환자의 고정식 교정치료를 진행 시, 상악궁의 횡적인 부조화를 개선하고, 장골 이식과 임플란트 보철의 협진이 시행되는 과정을 살펴보았다.
Figure 1.
Unilateral Cleft lip and Palate (Male, 36Y) and Bilateral Cleft Lip and Palate (Female, 20y)

Figure 2.
Patient’s chief complaints at lower left molars and Dental implants at the referral to the orthodontic department.

Figure 3.
Unilateral cleft lip and palate male adult patient, axial view of no previous bone graft/ orthodontic treatment history, maxillary archform compared to a diagram9.

Figure 7.
Upper row: pre-surgical axial view, bone graft, and intra-oral photo
Lower row: 3 month follow-up axial view with new bone bridge, archform, and frontal view.

Figure 8.
Upper row: Initial intraoral frontal and maxillary occlusal views.
Lower row: Panoramic radiograph, axial and sagittal views

Figure 9.
Upper row: Transverse discrepancy at Maxillary first and second molars
Lower row: TPA appliance and segmental lingual wire

- REFERENCES
- REFERENCES
- 1. Hong M. Health Insurance Benefits for the Orthodontic and Orthopedic Treatment of the Cleft Lip and Palate, and the Congenital Craniofacial Deformity. Korean J Cleft Lip Palate 2021;24(2):53–59.
[Article]2. Kim S, Kim WJ, Oh C, Kim JC. Cleft lip and palate incidence among the live births in the Republic of Korea. J Korean Med Sci 2002;17:49–52.
[Article] [PubMed] [PMC]3. Hong M. The Birth Prevalence of Cleft Lip and/or Palate Patients in Korea and Orthodontic and Orthopedic Treatment for Congenital Defects Supported by National Health System. Korean J Cleft Lip Palate 2023;26(1):1–6.
[Article]4. 대한구순구개열학회 편찬위원회, 구순구개열의 종합적 진단과 치료: 수술, 언어, 교정치료, 명문출판사, 2022.5. Healthcare Bigdata Hub. Healthcare Bigdata Hub. Statistics of procedure [Internet]. 2023 [cited 2023 April 20]. Available from: http://opendata.hira.or.kr/ op/opc/olapDiagBhvInfo.do.6. Baek SH, Yang WS. Clinical study on the anomalies of number and Morphology in Cleft lip and Palate Patients’ Teeth. Korean J Orthod 2001;31(1):51–61.7. Lee SM, Son WS. Prevalence of Congenital Missing, Supernumerary Teeth, and Size, Shape and Rotation of the Maxillary Anterior Teeth in Patients with Cleft Lip and Alveolus. Korean J Cleft Lip Palate 2020;23(1):20–24.
[Article]8. Alexander C. Cash, Alistair R.M. Cobb. Chapter 56 Orthognathic surgery in the Patient with Cleft Lip and Palate, Orthognathic Surgery: Principles, Planning and Practice. 796–804. Wilety Blackwell. 2017.9. Park YH, Park SM, Baek SH. Alignment Strategy for Constricted Maxillary Dental Arch in Patients with Unilateral Cleft lip and Palate Using Fixed Orthodontic Appliance. J of Craniofac Sur 2018;Mar;29(2):264–269.
[Article]10. Hong M, Baek SH. Differences in the Alignment Pattern of the Maxillary Dental Arch Following Fixed Orthodontic Treatment in Patients with Bilateral Cleft lip and palate: Anteroposterior-C0llapsed Arch Versus Transverse-Collapsed Arch. J of Craniofac Sur 2018;Mar;29(2):440–444.