3D 프린터를 이용하여 제작한 티타늄 합금 금속구조물을 이용한 상악 가철성 국소의치 수복 증례
A case report of maxillary removable partial denture restoration using a 3D-printed titanium alloy framework
-
Dong-Jun Song
, Joo-Hun Song*
- Received October 28, 2024 Revised November 15, 2024 Accepted December 3, 2024
- ABSTRACT
-
Successful treatment with removable partial dentures (RPDs) requires careful consideration of the fit and characteristics of the metal framework. Traditional methods for fabricating metal frameworks are complex and prone to errors. To overcome these limitations, the use of 3D printing technology for metal framework production has become increasingly popular. In terms of materials, in addition to the traditionally used cobalt-chromium (Co-Cr) alloys, titanium alloys (Ti-6Al-4V) are now being utilized. Titanium alloys (Ti-6Al-4V) offer a lighter weight compared to Co-Cr alloys, making them a viable option when considering the overall weight of the prosthesis in RPD fabrication. This case report presents the use of 3D-printed titanium alloy (Ti-6Al-4V) for metal framework fabrication and the positive outcomes achieved through this approach.
- 서론
- 서론
금속 구조물은 구강 내에서 안정적으로 위치하여 가철성 국소의치의 각 부분을 연결하며, 기능 중 의치가 움직이지 않도록 돕는 역할을 하고, 저작력을 치아와 주변 조직으로 분산시켜주는 역할을 한다[1,2].금속 구조물은 주연결장치, 부연결장치, 레스트, 클라스프 등을 포함하며 이러한 구조물들은 각각의 부위에 따라 하는 역할이 다르다. 금속 구조물은 견고하고 클라스프 부위에는 적절한 탄성을 가져야 하며 치아와 적합하는 부위는 정밀하게 제작되어 우수한 적합성을 가져야 한다[3]. 전통적으로 로스트 왁스 주조법(lost-wax technique)을 이용하여 제작한 코발트-크롬 합금이 금속 구조물의 제작을 위해 주로 사용되어져 왔다[1]. 하지만 제작된 코발트-크롬 합금의 금속 구조물은 주조 과정에서 2.3%정도의 수축이 일어나고 이는 정밀하게 치아와 적합해야 할 구조물의 적합성에 영향을 미칠 수 있다[1,3]. 주조 방식을 통한 금속 구조물의 제작은 과정이 복잡하고 이에 따라 오류가 누적될 가능성이 높으며, 여러 단계의 수작업이 필요하여 제작 시간이 길어질 수 있다는 단점이 있다[4]. 수축이 일어나고 복잡한 제작 단계에서의 단점을 극복하기 위해 선택적 레이저 용융 방식(selective laser melting, SLM)의 3D 프린터를 이용한 금속 구조물 제작이 시도되고 있다[4].상악 가철성 국소의치는 중력에 의해 구강 내에서 이탈하려는 힘을 받고, 이탈하려는 힘은 적절하게 설계된 간접 유지장치를 통해 저항할 수 있다[5]. 의치의 무게는 중력에 의해 탈락하려는 힘에 직접적으로 영향을 주는 요소이며 만약 적절하게 디자인된 간접 유지장치 및 레스트가 없다면 의치가 탈락하려는 힘은 환자에게 하여금 의치의 사용을 어렵게 할 수 있다[6]. 티타늄 합금(Ti-6Al-4V)을 사용한 금속 구조물의 제작은 가벼운 무게와 높은 생체 적합성 덕분에 코발트-크롬 합금의 대체제로 주목받고 있다[7]. 특히 티타늄 합(Ti-6Al-4V)의 가벼운 무게는 중력에 이탈하려는 힘을 받는 상악 가철성 국소의치의 사용에 있어서 더 큰 장점이 있다[7].티타늄 합금(Ti-6Al-4V)의 여러가지 장점에도 불구하고, 티타늄 합금(Ti-6Al-4V)을 이용한 금속 구조물의 사용에 가장 큰 한계점 중 하나는 제조 공정이며, 특히 코발트-크롬 합금보다 주조 과정이 복잡하고 비용이 높다는 한계점이 있었다[7]. 하지만 최근 선택적 레이저 용융 방식(SLM)의 3D 프린터의 발전으로 인해 티타늄 합금(Ti-6Al-4V)의 금속 구조물 제작이 가능해 졌고 우수한 제작 정확도도 보고된 바 있다[8].본 논문에서는 선택적 레이저 용융 방식(SLM)의 3D 프린터를 이용하여 제작된 티타늄 합금(Ti-6Al-4V)의 금속 구조물을 이용하여 상악 가철성 국소의치를 제작하였고 의미 있는 임상적 결과를 얻었기에 이에 대해 보고하고자 한다.
- 증례
- 증례
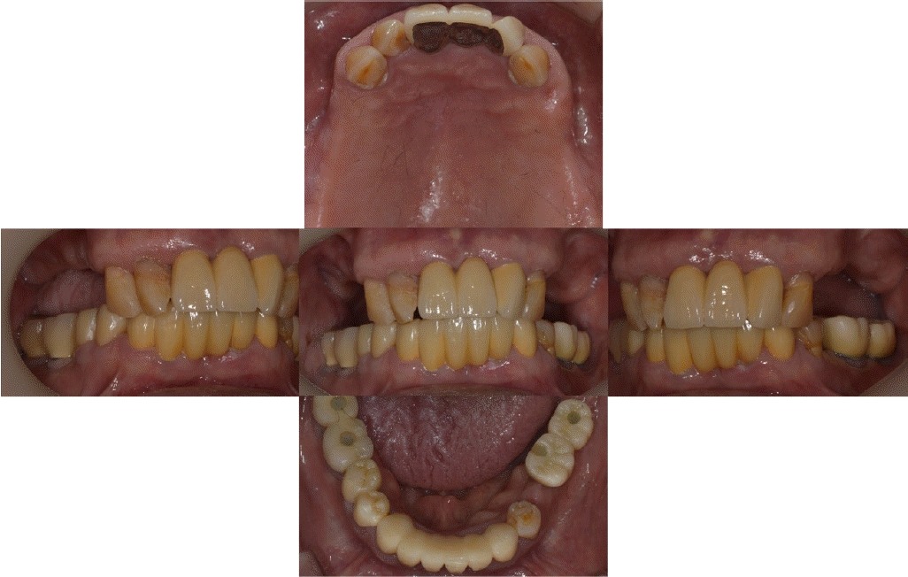
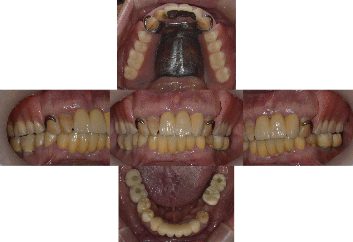
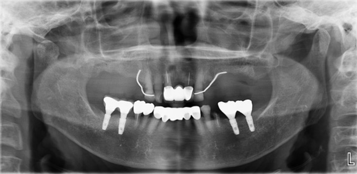
본 증례의 환자는 76세의 여성으로 상악 6전치만 잔존한 상태로 상악 가철성 국소의치의 제작을 위해 내원하였다. 상악은 6전치 중 상악 우측 견치와 좌측 견치의 상태는 동요도 및 파절 상태 없이 양호하였고, 상악 우측 측절치는 총생 상태였으며, 상악 우측 중절치와 상악 좌측 측절치를 이용해 3본 고정성 가공의치 형태로 상악 좌측 중절치의 수복이 되어 있는 상태였고, 상악 잔존 치조제의 상태는 중등도의 흡수 상태가 관찰되었다. 하악은 하악 좌측 제 2소구치는 잔존 치근 상태였다(Fig. 1). 상악의 경우엔 임시의치를 사용중이었고, 잔존 치근 상태인 하악 좌측 제 2소구치는 발거를 진행하였다. 전신병력으로는 B형 간염, 신장 투석, 파킨슨, 당뇨, 고혈압 및 협심증으로 다양한 약을 복용중이었고 비용 및 전신병력의 이유로 임플란트와 같은 수술적인 치료방법의 치료는 어려운 상태였다.상악은 양측 구치부의 결손이 있는 Kennedy Class I 으로 분류하고, 후방 결손부의 수복을 위해서 상악 가철성 국소의치의 제작을 진행하기로 결정하였다. 상악 가철성 국소의치의 디자인은 양측 상악 견치에 후방연장 국소의치의 유지를 위해 설면 레스트와 원심 유도면, 조직 언더컷으로 인해 RPA 클라스프를 설계하였고, 잔존 치아의 개수가 적어 주연결장치는 구개부를 대부분 피개하는 구개판형 연결장치를 설계하였다. 간접 유지의 역할을 위해 추가적인 설면 레스트의 부여를 고려하였으나 양측 측절치에 설면 레스트의 형성은 상악 우측 측절치의 총생 및 상악 좌측 측절치의 기존 보철 수복물로 인해 한계가 있었다(Fig. 2). 의치의 무게로 인한 탈락을 최대한 보완해보고자 금속 구조물의 제작을 코발트-크롬 합금보다는 보다 가벼운 특징을 가진 티타늄 합금(Ti-6Al-4V)을 이용하여 제작하기로 결정하였고, 7년 이내 요양급여를 통한 보험의치 적용을 받은 기록이 있어 비보험 진료로 진행하기로 하였다.해당 수복의 진행을 위해 양측 견치에 설면 레스트 시트를 구강 내 직접 형성 하였고 삽입 철거로를 고려하여 원심면의 치질 성형을 시행하였다(Fig. 2). 이후 개인 트레이를 제작 후 부가중합형 실리콘(Selection-K V.P.S, Shinhung Co., Seoul, Korea)를 이용해 기능인상채득을 시행하였다(Fig. 3). 이후 주모형을 제작하였고 제작된 주모형을 모델 스캐너(DOF Freedom HD, DOF Inc., Seoul, Korea)를 이용해 스캔하여 디지털 데이터를 형성하였다(Fig. 4). 이후 디지털 데이터를 이용하여 CAD 프로그램(3Shape dental system, 3Shape Inc., Copenhagen, Denmark)를 이용하여 금속 구조물을 디자인하였다(Fig. 5). 이후 해당 디자인된 금속 구조물을 선택적 레이저 용융 방식(SLM)의 3D 프린터(David 1.0, Merain Co., Incheon, Korea)를 이용하여 티타늄 합금(Ti-6Al-4V)으로 금속 구조물을 제작하였다. 또한 티타늄 합금과의 무게 비교를 코발트-크롬 재질의 금속 구조물도 티타늄 합금(Ti-6Al-4V)의 금속 구조물 제작에 사용한 동일한 CAD 파일을 이용하여 3D 프린팅을 통해 제작하였다.제작한 티타늄 합금(Ti-6Al-4V)과 코발트-크롬 합금의 금속 구조물의 후처리를 완료 후 주모형에 적합도 확인 및 무게 측정을 시행하였으며, 티타늄 합금(Ti-6Al-4V) 금속 구조물의 무게는 5.6g 이었고, 코발트-크롬 합금의 무게는 9.5g으로 티타늄 합금(Ti-6Al-4V)의 무게가 코발트-크롬 합금보다 41% 정도 더 가벼운 무게를 나타냈다(Fig. 6).제작된 티타늄 합금(Ti-6Al-4V) 금속 구조물의 적합을 환자 구강내에서 확인하였고, 이후 기록상을 제작하여 악간관계 기록을 채득 후 교합기에 부착하여 치아배열을 시행하였으며, 균일하게 중심교합 시 균일한 교합접촉을 이루는지 확인하였다(Fig. 7).
- 토의
- 토의
본 논문에서는 금속 구조물의 제작을 위해 선택적 레이저 용융(SLM) 기술의 3D 프린터를 사용하여 제작하였다. 전통적인 방법에서 금속 구조물의 제작의 방법은 매우 복잡하고 이와 같은 이유로 적합도 문제가 30%정도 발생한다는 연구가 있을 정도로 현대에 와서도 한계점이 뚜렷하다[2]. 성공적인 가철성 국소의치 제작을 위해 금속 구조물의 적합도는 매우 중요하다. 금속 구조물이 원하는 부위에 적합이 되지 않으면 가철성 국소의치가 기능할 때 술자가 의도한대로 힘의 전달이 불가능하고 이는 기능 및 사용상의 문제점이 나타날 수 있다. 이러한 방법의 대안으로 디지털 기술을 활용한 금속 구조물의 제작이 이루어지고 있으며 선택적 레이저 용융(SLM) 기술을 활용한 3D 프린팅을 이용한 금속 구조물의 제작은 임상적으로 허용할만한 적합도 및 정확도를 보여줌이 보고되었다[2,4,9].제작 공정이 다르기에 3D 프린팅을 이용하기 위한 금속 구조물의 디자인 및 가공 시 고려해야 할 부분이 있는데 가장 대표적인 부분은 지지대의 존재이다. 두께가 비교적 얇아지는 클라스프 부위에도 지지대는 부착되게 되며 추후 금속 구조물로부터 지지대를 제거할 때 표면의 거칠기 및 미세한 결함부위를 발생시킬 수 있고 이는 장기적으로 금속 구조물의 정확도 및 적합도에 영향을 미칠 수 있다[1,10]. 지지대를 많이 부착하게 되면 프린팅 과정 중 금속 구조물의 뒤틀림이나 변형을 방지하는 역할을 하지만[10], 너무 많은 지지대의 존재는 사용되는 재료의 양을 증가시키고 전체 작업시간을 연장시키게 된다[1]. 이와 같은 특징을 고려하여 CAD 소프트웨어에서 얇은 두께를 가지는 부위를 좀더 보강하는 금속 구조물을 디자인 해야 하며, 프린팅을 위해 금속 구조물의 CAD 파일을 위치시킬 때도 적절한 지지대의 위치와 3D 프린터의 특성의 고려가 필요하다.본 논문에서의 환자는 상악에 가철성 국소의치의 수복을 진행하였다. 환자분은 상악 구치부가 모두 상실된 환자분이었으며 상악 양측 견치의 상태는 양호하여 설면 레스트를 형성하여 기능하는데 문제는 없었지만 상악 의치가 중력에 의해 떨어질 때 저항해 주는 간접 유지장치의 부여가 총생 및 기존 보철로 인해 제한되었다. 상악 가철성 국소의치의 안정적인 기능과 잔존 지대치의 보호를 위해 중력에 대한 고려는 중요하며, 무게를 고려하여 가벼운 특징을 가지는 티타늄 합금(Ti-6Al-4V) 소재를 이용해 금속 구조물 제작을 하였다. 티타늄 합금(Ti-6Al-4V)은 가볍고 내식성과 생체 적합성이 뛰어난 특징을 가지고 있으나, 주조를 통해 제작하기 어렵고, 선택적 레이저 용융(SLM) 방식을 통해 가공을 해야 하는 높은 가공 난이도를 가지고 있다[1]. 본 논문에서는 환자에게 금속 구조물의 적합도를 확인하기 위하여 금속 구조물 내면에 압력 지시재(Fit checker, GC Co., Tokyo, Japan)를 사용하여 적합도 확인을 하였고 레스트와 유도면에서는 양호한 적합도를 얻었으나 클라스프에서는 과도한 적합도가 관찰되어 내면 연마를 시행 후에 양호한 적합도를 얻었다. 제조 공정과 지지대의 존재로 인한 변형의 문제가 적합도에 영향을 주었고 금속 구조물을 CAD 소프트웨어에서 디자인할 때 비교적 얇은 두께를 가진 부분에서 지지대 제거와 같은 후처리 과정 중에 변형이 일어날 수 있음을 인지하고 제조 공정상의 특징을 고려하여 조금 더 두껍게 디자인하여 추후 연마를 통해 원하는 두께를 확보하는 등의 고려가 필요하리라 사료된다.가철성 국소의치에서 사용하는 금속 구조물에서 탄성을 가져야 하는 클라스프 부위에서는 전통적으로 사용해오던 재료인 코발트-크롬 합금과 달리 티타늄 합금(Ti-6Al-4V)에 대한 장기적인 데이터가 부족한 것은 사실이다. 3D 프린팅을 이용하여 제조한 티타늄 합금(Ti-6Al-4V)에서 후처리 과정에 진행되는 열처리 과정은 미세구조를 개선하여 연성을 향상시키고, 잔류 응력을 줄이는데 필수적이며 코발트-크롬 합금에 비교하여 부족한 기계적 성능을 향상시키는데 필수적이다[11]. 본 환자에서 클라스프 선택에서 가공선 클라스프를 선택하지 않고 RPA 클라스프를 선택하였는데, 상악 견치가 치주적 동요도 없이 상태가 양호하였고, 또한 티타늄 합금(Ti-6Al-4V)은 높은 온도에서 산화막을 형성하고 산화막은 금속 접합 기술에 영향을 미쳐 가공성 클라스프의 연결에 어려움이 있어 RPD 클라스프를 선택하였다[11]. 열처리를 통해 향상된 연성의 특징을 얻는다 하더라도 장기적 데이터가 부족하고 클라스프 파절에서 자유롭지 못하다는 티타늄 합금(Ti-6Al-4V)의 한계가 존재하지만, 주모형과 금속 구조물의 디지털 파일이 존재하여 클라스프 파절이 발생으로 가철성 국소의치의 재제작이 필요한 경우에 아날로그 방식에 비해 간단한 과정으로 제작이 가능하다. 가공 난이도가 높고 장기적 데이터가 부족하다는 부분은 현재 티타늄 합금(Ti-6Al-4V)의 금속 구조물에서의 사용에서의 한계점이기도 하며 좀더 많은 연구와 누적된 데이터가 필요할 것으로 사료된다.본 증례는 제한적인 환경을 가진 상악 양측 후방 결손부 환자에게 중력으로 인한 상악 의치 탈락을 최소화 시키기 위해 티타늄 합금(Ti-6Al-4V) 소재를 3D 프린팅을 이용해 제작하였고 환자분은 큰 불편감 없이 잘 사용하여 만족스러운 결과를 얻었기에 보고하는 바이다.
- NOTES
- NOTES
Figure 6.
The titanium alloy (Ti-6Al-4V) framework (A) weight 5.6 grams, while the Co-Cr alloy framework (B) weights 9.5 grams

Figure 7.
Maxillomandibular relationship record using a recording base (A) and arrangement of artificial teeth (B)

- REFERENCES
- REFERENCES
- 1. Akl MA, Stendahl CG. Removable partial denture frameworks in the age of digital dentistry: a review of the literature. Prosthesis 2022;4:184–201.
[Article]2. Conceição P, Portugal J, Neves CB. Evaluation of removable partial denture metal frameworks produced by digital methods - a systematic. Appl Sci 2023;13:10824.3. Rues S, Tasaka A, Fleckenstein I, Yamashita S, Rammelsberg P, Boehm S et al. Fit and retention of cobalt-chromium removable partial denture frameworks fabricated with selective laser melting. J Funct Biomater 2023;14:416.
[Article] [PubMed] [PMC]4. Chia VAP, See Toh YL, Quek HC, Pokharkar Y, Yap AU, Yu N. Comparative clinical evaluation of removable partial denture frameworks fabricated traditionally or with selective laser melting: a randomized controlled trial. J Prosthet Dent 2024;131:42–9.
[Article] [PubMed]5. Frank RP, Nicholls JI. An investigation of the effectiveness of indirect retainers. J Prosthet Dent 1977;38:494–506.
[Article] [PubMed]6. Carr AB, Brown DT, McCracken WL. McCracken's removable partial prosthodontics. 12th ed. Louis: Elsevier Mosby, 2011.7. Ohkubo C, Hanatani S, Hosoi T. Present status of titanium removable dentures - a review of the literature. J Oral Rehabil 2008;35:706–14.
[Article] [PubMed]8. Peng PW, Hsu CY, Huang HY, Chao JC, Lee WF. Trueness of removable partial denture frameworks additively manufactured with selective laser melting. J Prosthet Dent 2022;127:122–7.
[Article] [PubMed]9. Takaichi A, Fueki K, Murakami N, Ueno T, Inamochi Y, Wada J et al. A systematic review of digital removable partial dentures. Part II: CAD/CAM framework, artificial teeth, and denture base. J Prosthodont Res 2022;66:53–67.
[Article] [PubMed]10. Hussein MO, Hussein LA. Optimization of digital light processing three-dimensional printing of the removable partial denture frameworks; the role of build angle and support structure diameter. Materials (Basel) 2022;15:2316.
[Article] [PubMed] [PMC]11. Jin B, Wang Q, Zhao L, Pan A, Ding X et al. A review of additive manufacturing techniques and post-processing for high-temperature titanium alloys. Metals 2023;13:1327.
[Article]