안면비대칭과 비기능적 저작력에 의한 턱관절 질환의 사례를 통한 고찰
Facial asymmetry and nonfunctional chewing force in temporomandibular joint disorders: Case series
-
Jinhyuk Hwang*
- ABSTRACT
-
Several possible causes for the temporomandibular joint disorders have been proposed, but trauma to the jaw including macro and micro-trauma is the most common etiologic factor contributing to a change in biomechanics in the joint. Facial asymmetry is a factor of the force imbalance to the temporomandibular joint which can cause the temporomandiular joint disorders. It can be corrected by orthognatic surgery (2-jaw surgery) with orthodontic therapy to be a harmonic bite force transmission to the temporomandibular joint. And nonfunctional chewing force can be managed with a biofeedback device which is one of the behavior therapies. Biofeedback is a well-proved treatment method in rehabilitation therapy. In the temporomandibular joint disorders field, it can alert patients to their bruxing habits in real time and manage to stop the bruxism with stimulation to the patients. In this paper, we report on the 3 cases to discuss about the force management of the temporomandibular joint involved with facial asymmetry and sleep bruxism.
- 서론
- 서론
2024년 건강보험심사평가원 질병 세분류 통계에 따르면 턱관절 질환으로 진료를 받은 환자는 542,735명으로 2014년 338,287명에 비해 60.4% 늘었다. 향후 턱관절 환자는 더 증가할 것으로 추정되며 치과계에서 활발히 치료해야하는 영역일 것이다. 이러한 턱관절 질환의 원인은 다양하며, 선천적인 요소와 후천적인 요인을 모두 다 포함한다고 알려져 있다[1-5]. 다양한 원인으로 인해 턱관절 환자를 치료하다 보면 잘 낫지 않은 경우도 있고 당시에는 괜찮아졌다가도 다시 재발하는 경향이 있어 임상가들이 진료에 어려움을 가지기도 한다. 턱관절은 저작과 교합에 의한 힘에 영향을 받으며 턱관절에 가해지는 과도한 힘은 여러 가지 턱관절 질환을 야기한다[6-10]. 하악골의 형태학적인 문제로 인해 관절부에 가해지는 하중의 증가는 턱관절 질환을 일으키는데 주요한 원인 중에 하나로 언급되며, 제2급 부정교합을 비롯한 골격성 부정교합 및 안면비대칭의 경우에 턱관절 질환으로 진행되는 것이 보고된다[11,12]. 이러한 골격적인 문제 이외에도 조절되지 않은 저작력은 저작근의 통증과 턱관절증, 턱관절염을 발생시킬 수 있다. 장기간에 걸쳐 관절과 저작근에 가해지는 경미하고 빈번하며 반복적인 힘은 비기능적인 저작력이다. 이러한 미세외상의 대표적인 예는 수면 이갈이라고 볼 수 있다[13-15].이번 논문에서는 안면비대칭이 있는 환자와 수면 이갈이가 존재하는 환자를 통해 턱관절에 가해지는 비대칭으로 주어지는 교합력과 비기능적 저작력이 턱관절 질환에 어떠한 영향을 끼치는지 사례를 통해 알아보고자 한다.
- 증례
- 증례
- 증례 1
- 증례 1
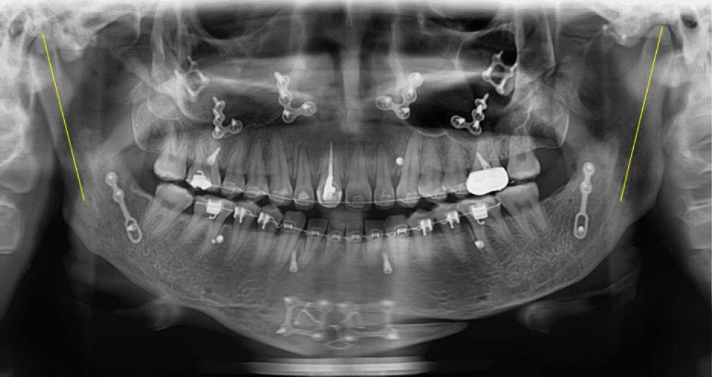
28세 여성이 안면비대칭과 턱관절의 불편감으로 내원하였다. 안모는 우측으로 비대칭이 관찰되었으며, 우측 턱관절부위의 관절잡음이 있었으며 26mm 개구 시 과두걸림이 있었다. 최대개구량은 48mm이고 우측으로 변위된 개구 양상을 보였다. 안면 CT와 X-ray 촬영 결과, 좌측 하악지가 우측 하악지에 비해 12.89mm 길었으며 관절까지의 방향이 우측 하악지에 비해 외측으로 향해 있는 것을 알 수 있었다(Fig. 1). 우측 하악체의 길이가 좌측에 비해 길고 이로 인해 하악 턱끝은 정중선에 비해 우측으로 13.8mm 편위되어 있었다. 그리고 교합평면은 좌측으로 기울어지고 구치부 반대교합과 전치부 절단교합이 존재하였다(Fig. 2). 안면비대칭과 턱관절원판의 정복성 전방변위로 진단하고 하악골의 비대칭과 교합평면의 개선을 위해 턱교정수술과 치아교정술을 계획하였다. 턱교정수술은 상악골 후상방(좌측: 3.5mm, 우측: 4.5mm)이동하고, 하악골은 후방(좌측: 17.5mm, 우측: 5.5mm) 이동하였다(Fig. 3). 턱끝성형술과 하악골 윤곽성형술을 통해 하악골과 안모의 대칭에 도움을 주었다. 하악골수술은 시 시상분할절골술을 이용하였으며, 관절과두가 포함된 근심골편을 재위치시켜주어 과두걸림을 해소하려 하였다. 수술 2주후 치아교정술을 시작하면서 개구연습을 진행하였으며 비대칭적 개구 습관의 교정을 위해 탄성고무줄을 이용하여 중심선에 맞게 진행하였다. 수술 6개월 후 평가 시, 안모의 비대칭은 개선된 결과를 보였으며(Fig. 4) 턱관절 부위의 과두걸림은 관찰되지 않고 정상범위 내의 개구 양상을 보였다.- 증례 2
- 증례 2
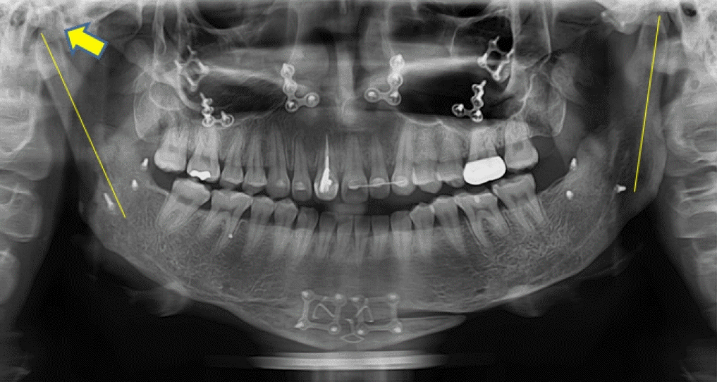
32세 여성이 우측 턱관절의 통증과 개구제한을 주소로 내원하였다. 내원 전에 3차례에 걸쳐 각각 다른 의료기관에서 턱교정수술을 받은 경험이 있고, 음식물 저작이 힘들고 입이 비뚤어져 사회관계에도 문제가 있었다. 안모는 좌측으로 변위된 비대칭이 관찰되었고 교합은 상악골의 우측 변위, 하악골의 경사진 좌측 변위로 인해 치아 중심선 비대칭을 포함하여 전치부의 개방교합과 구치부의 반대교합이 관찰되었다(Fig. 5). 우측 관절부위 통증과 다수의 수술로 인한 저작근 주위 조직의 경직으로 인해 자발적 최대개구량은 23mm이었다. 파노라마방사선영상에서 우측 하악과두가 좌측에 비해 glenoid fossa으로 부터 떨어져 있고 전방으로 기울어져 있는 것을 관찰할 수 있었다(Fig. 6). 이전 하악골편 고정시 하악과두가 포함된 근심골편이 후방으로 위치하여 고정된 것과 상악골의 우측 변위되어 고정된 것을 개선시키기 위해 4번째 턱교정재수술(4th reoperation)과 치아교정술을 계획하였다. 상악골의 수술 시 하악골의 안정을 위해 후상방이동 2.5mm와 기울어진 교합평면의 개선을 위해 교합평면 수정1.5mm를 하였으며 동시에 상악의 비대칭 개선을 위해 좌측으로 1.5mm 측방이동하였다. 하악골은 기존의 골절선을 이용하여 골편을 분리한 후 변위된 우측 근심골편을 관절와에 재위치시키고 상악골의 위치에 따라 고정하였다. 수술 중 비대칭이 해소된 것과 개구량 45mm 확보된 것을 확인하였다. 수술 후 파노라마방사선영상과 3D CT영상에서 치아의 정중선이 일치하고 전치부 및 구치부의 반대교합이 해소된 것을 볼 수 있었다. 그리고 우측 하악과두가 관절강 내 재위치된 것과 하악지의 방향이 좌, 우측 비슷하다는 것을 확인할 수 있었다(Figs. 7 and 8). 수술 후 2주부터 개구연습과 치아 교정을 진행하였으며, 수술 후 3개월에 자발적 개구량 35mm 확인하였다. 다수의 수술로 인한 구강내 반흔 조직과 저작근 주위의 경결감으로 인해 적극적인 개구훈련을 하였으며 수술 후 6개월에 38mm의 개구량을 보였으나 통증은 없고 일상식이 가능하여 이후의 경과관찰에는 내원하지 않았다.- 증례 3
- 증례 3
24세 남성이 수면 이갈이로 인한 심한 두통과 턱관절 부위의 통증을 주소로 이전에 스플린트 치료, 보톡스 주사 등 여러차례 타의료기관에서 진료를 보았으나 해결되지 않았다. 통증은 기상 직후에 VAS 5-7정도의 수준으로 있었으며, 양측 측두부위 통증을 비롯하여 간헐적 과두걸림 있어 수면 이갈이로 인한 턱관절원판의 정복성 전방변위와 저작근의 근막동통 증후군으로 진단하였다. 수면 이갈이의 관리를 위해 행동요법 중에 하나인 바이오피드백 장치를 6주간 사용하여 저작근의 비기능적 활동을 모니터링하고 역치 이상의 저작근 활동이 감지되면 진동을 통하여 비기능적 이갈이를 조절하였다. 바이오피드백 장치(Goodeeps®, Changwon, Korea)를 측두부에 부착하여 측두근의 활성화 정도를 6주간(총 사용횟수: 26회, 총 측정시간: 129시간 45분)동안 470,825,744개의 근전도 데이터를 확보하였고, 이갈이에 반응하여 진동 피드백을 주었다. 사용초기에는 진동 자극을 줄만큼 강한 저작근의 활동이 있었고 하루밤에 4번에서 13번 정도의 바이오 피드백 개입이 있었으며 사용 후 3주차부터 진동자극을 제공할 만큼의 이갈이가 발생하지 않았다(Figs. 9 and 10). 이때부터 잠에서 깨어 난 후 측두부위의 통증이 많이 감소하였다고 하였으며 개구시 걸리는 느낌도 줄었다고 하였다.
- 고찰
- 고찰
턱관절을 포함한 저작 부위의 비정상적 하중은 안면부 통증을 비롯하여 턱관절증, 관절염과 같은 턱관절 질환과 치아 파절, 보철물 및 치과 임플란트의 파절 등 여러 가지 문제를 야기할 수 있다. 이러한 턱관절 질환에 대해 몇 가지 가능한 원인이 제안되었지만 조절되지 않은 힘과 안면비대칭이나 부정교합과 같은 턱뼈의 구조적 문제는 관절의 생체 역학 변화에 기여하는 가장 흔한 병인학적 요인으로 생각할 수 있다[11]. 첫 번째 환자의 경우, 좌측 하악지가 우측에 비해 12.89mm 길었고 이 영향으로 하악골의 중심은 우측으로 편위되어 있었다. 이러한 경우, 대부분 짧은 쪽으로 하중이 많이 전달되어 턱관절 질환이 발생할 가능성이 높다. 이 환자는 상대적으로 짧은 하악지를 가진 우측에 관절 잡음을 동반하여 간헐적 과두 걸림이 있었다. 턱관절에 가해지는 과한 하중은 턱관절 원판이 전방 변위되고 원판 후방조직에 힘이 가해져 통증과 관절 잡음을 포함한 턱관절증을 일으킨다[20]. 하지만 비대칭이 크게 존재하는 경우, 반드시 이환측에만 턱관절 장애가 존재하는 것은 아닌데, 이것은 통증이나 불편감을 해소하기 위해 반대측으로 비틀어 저작한다던지 편측 저작을 한 결과일 것이다. 이런 현상은 첫 번째 환자와 반대의 비대칭을 가진 환자의 경우에서 관찰할 수 있었는데, 좌측으로 편위된 비대칭이 있었으나 반대측에 턱관절증이 있었던 경우이다(Fig. 11). 하악골의 열성장과 제2급 부정교합의 경우 정상교합에 비해 상대적으로 짧은 하악지와 하악과두로 인해 턱관절의 디스크 전위나 골관절염이 생기는 취약한 환경에 있는 것과 유사하게 비대칭 하악골에서 구조적으로 하중을 해소하는데 불리한 구조이다[16-19]. 이런 골격적 문제를 해결하기 위해서는 턱교정수술과 치아 교정이 필요할 수 있다. 턱교정수술에서 고려해야할 점은 틀어진 교합평면의 수정, 하악지의 관절에서 내려오는 방향과 측방으로 벗어나려는 힘의 조절 등이다. 상악골의 재위치 시 수술 후 비대칭을 해소하기 위한 하악의 위치를 고려하여 rotation, canting correction, shifting 등 3차원적으로 수술계획을 하여야한다. 그리고 하악골의 시상분할절골술 후 고정 시, 하악과두를 포함한 근심 골편이 관절내에서 앞뒤, 좌우 등으로 치우치는 힘으로부터 자유롭게 해야 하는데(freeing) 이 때는 근심골편과 원심골편 사이에 저항이 없도록 고정시켜야 한다. 상악골과 하악골이 정중선에 재위치되어도 하악골체의 부피 차이와 턱끝 부위의 모양 차이로 인한 안면비대칭은 하악골의 골체변연성형술과 턱끝 수술을 통해 상당부분 해소해줄 수 있다. 하악골의 시상분할절골술 이후 근심골편을 고정할 때 관절부의 위치를 잘못 설정하면 두 번째 환자의 경우처럼 수술 이후에 개구제한이 있고 해당부위의 턱관절에 통증이 있을 수 있다. 해당 환자는 좌측 하악과두가 glenoid fossa에서 전방으로 떨어져 위치되었는데 이것은 근심골편의 고정시 후방으로 밀려 고정된 결과 일 수 있다. 후방압력에 의해 원심 골편은 좌측으로 틀어지며 치아는 편측으로 비틀어져 전치부 개방교합과 구치부의 반대교합이 나타났으리라 추측된다. 이러한 이유로 관절의 원판은 전방변위되고 후방조직의 압력으로 통증을 느끼게 되는데, 교합력이 가해지면 과도한 힘이 아니더라도 구조적으로 통증과 턱관절증을 일으킬 수 있을 것이다. 또한 잘못 고정된 하악지의 경우, 관절에 전해지는 힘의 방향이 좌우 다를 수 있다. 첫 번째 사례와 같이 하악지의 길이가 양쪽이 다른 경우, 관절에 전달되는 힘이 짧은 측을 축으로 하중의 차이가 있어 이환된 쪽에 턱관절 질환이 발생할 수 있는 것을 살펴보았다. 이와 비슷하게 관절로부터 하악각으로의 방향이 서로 다른 경우, 하중 전달량의 차이로 턱관절질환이 생길 수 있다. 따라서 두 번째 사례에서처럼 하악지의 고정 시 양측의 각도를 비슷하게 설정해주는 것이 이후 턱관절에 양호한 하중 전달 구조에 유리하다(Fig. 7). 수술 이후 개구연습을 통하여 정상 범위의 개구량을 회복함에 있어 두 번째 사례에서는 고려해야할 점들이 있었다. 이전의 3번에 걸친 턱교정수술로 인해 잔존하는 근심골편의 양이 적었고 이로 인해 개구연습 시 과도한 힘에 의한 뒤틀림을 조심해야 했다. 그리고 골막과 저작근 주위의 반흔조직성 경결감으로 온열을 동반한 물리치료를 통해 저작근의 활성화 범위를 점차 넓혀갔다. 수술 전 상악골의 우측 편위로 인해 더욱 좌측으로 틀어져 보이던 하악을 보상성 개구활동으로 중심선을 맞추려고 했던 습관을 교정하기 위한 행동요법도 시행하였다. 행동요법은 습관의 교정으로 질병을 치료하는 방법이며 이중 바이오피드백은 자발적으로 제어할 수 없는 생리 활동을 공학적으로 측정하여 지각 가능한 정보로 생체에 전달하고, 그것을 바탕으로 학습, 훈련을 되풀이하여 자기 제어를 달성하는 기법이라 알려져 있다[21]. 턱관절 질환의 분야에서 바이오피드백은 수면 이갈이를 조절하는데 좋은 역할을 한다고 보고되어진다[22,23]. 세 번째 환자의 경우, 턱관절 부위의 통증과 심한 이갈이로 인해 치과의원에서 스플린트 치료, 보톡스 치료, 물리치료 등 수년간의 치료를 받았지만 나아지지 않아 바이오피드백을 통한 수면 이갈이를 관리하고자 하였다. 통증은 주로 측두부에서 있었으며, 수면 중 발생된 저작근의 과긴장으로 아침에 기상 후 두통이 심하였다. 과긴장되는 근육의 활동을 줄이기 위해 보톡스 주사가 주로 사용되는데 교근에만 주사하는 경우, 측두근의 활동이 강해져서 오히려 측두부에 통증을 호소하기 한다. 이 환자의 경우에도 이전 주사 부위가 아래쪽에 국한되어 있었다는 점은 교근의 위축이 오히려 측두근의 근육통을 발생시키지 않았나하는 추측을 해볼 수 있다. 보톡스 주사는 3개월 간의 효과를 가지고 있어서 그 이후에 관리가 되지 않으면 다시 저작근의 과긴장에 의한 턱관절 질환을 재발시킬 수 있다. 스플린트는 제작 후 사용하다가 수면에 방해가 되고 불편하다는 이유로 적극적인 사용이 힘들었다고 하였으며, 실제로 스플린트 자체가 수면 이갈이를 방지하기 보다는 치아를 보호하고 턱관절 부위에 간격에 의한 안정을 주기에 비기능적 저작활동을 차단하는데는 한계가 있다. 사용된 바이오피드백 장치는 수면 중 측두근의 활동을 근전도를 이용하여 실시간으로 측정하고, 일정 역치 이상의 과긴장이 감지되면 생체에 진동 자극을 주어 clenching이나 grinding을 억제하도록 설계되어 있다. 본 연구에서는 이러한 기능을 갖춘 상용화된 장치인 Goodeeps(Miraclare, Republic of Korea) [24]를 사용하였다. 사용 시작 후 3일까지 장치를 통해 이갈이가 있을 때 근전도에서 확인이 되었으나 부착 부위의 이물감과 진동의 세기 조정 단계의 불편감 등으로 수면 중 잠을 깨는 경우가 있었다. 이 기간 동안 유의미한 이갈이(4초 이상)는 4에서 13회 정도 있었고, 다음날 아침에 일어났을 때 불편감이 점점 감소하는 기분이 들었다고 한다. 5일차 부터는 장치를 사용하는데 크게 불편한 점이 없었고 사용 후 3주차에서부터 진동이 필요할 정도의 이갈이는 발생하지 않았다. 진동을 주어도 이갈이가 계속되면 주어지는 진동의 크기를 높여 이갈이가 멈출 때까지 진행되기도 하였다(Fig. 12). 비기능적 행동을 할 때 생체내로 신호를 주어 제어하는 방식의 바이오피드백은 수면 이갈이의 발생시 진동을 주어 근 활동을 멈추게 하고 이것이 반복되면 무의식 중에 학습이 되어 이후 비기능적 습관을 회피하지 않을까라고 추측해 볼 수 있다. 실제로 환자는 6주 이후 바이오피드백 장치를 사용하지 않은 상태에서도 저작근에 힘을 주는 것에 대한 인지와 경계를 하여 이전의 턱관절 질환이 줄었다고 하였으나, 이에 대한 근거자료가 부족하여 이후 연구가 필요하다고 생각된다.턱관절 질환이 있는 환자를 문진할 때 다수의 경우에서 본인의 과도한 저작력을 인지하지 못한다. 그들은 수면 중 이를 가는 것이 없다고 하고 평소에 지그시 깨물고 있는 습관이 있는지 알지 못한다. 또한 턱관절 질환이 있는 상태에서는 딱딱하거나 질긴 음식을 제대로 씹지 못하여 턱에 힘을 주지 않는데도 계속 아프다고 하는 경우도 있다. 이것은 환자가 수면 중에 clenching과 grinding을 하거나 이것의 연장으로 낮에도 무의식적으로 깨물고 있을 가능성이 높다. 이러한 경우, 바이오피드백 장치는 환자와 의사에게 근전도 데이터를 이용한 정확한 저작근의 활동을 제공하여 턱관절 치료의 진단에 도움을 줄 수 있고, 의료기관에서뿐만 아니라 실생활 환경에서 비기능적인 저작력을 측정할 수 있고 유해한 행동에 대해서 조절할 수 있기에 턱관절 질환의 행동치료에 있어서 큰 역할을 할 수 있다고 본다. 턱관절 부위에 계속되는 부하는 저작근의 통증과 관절의 내장증, 그리고 골관절염 등을 유발하고 치료 이후에도 재발하게 하는 주요 요인으로 작용하기 때문에 힘의 비대칭성과 비정상적 강도 및 빈도를 조절하는 것이 턱관절 질환 치료의 시작이라고 볼 수 있다. 특히 행동요법 중 하나인 바이오피드백 장치는 습관성 질환인 턱관절 질환의 진단 및 관리에 도움을 줄 수 있다.
- NOTES
- NOTES
Figure 1.
A. 3D facial CT (frontal view). B. 3D facial CT (submentovertex view). C. Panoramic radiograph.
Figure 10.
A. Aspect of sleep bruxism and biofeedback occurance when initial using (Red bar: vibration biofeedback, blue bar: bruxism). B. Electromyography after using 2 weeks.
- REFERENCES
- REFERENCES
- 1. Dworkin SF, LeResche, L. Research diagnostic criteria for temporomandibular disorders: Review, criteria, examinations and specifications, critique. J Craniomandib Disord 1992; 6: 301–55.
[PubMed]2. Pullinger AG, Seligman DA, Gornbein JA. A multiple logistic regression analysis of the risk and relative odds of temporomandibular disorders as a function of common occlusal features. J Dent Res 1993; 72: 968–79.
[Article] [PubMed]3. Hylander L. Functional anatomy and biomechanics of the masticatory apparatus. In: Laskin, DM, Greene CS, Hylander WL. Temporomandibular disorders: an evidence-based approach to diagnosis and treatment. Chicago; Quintessence Pub: 2006. p. 3-34.4. Krohn S, Brockmeyer P, Kubein-Meesenburg D, Kirschneck C, Buergers R. Elongated styloid process in patients with temporomandibular disorders - is there a link? Ann Anat 2018; 217: 118–24.
[Article] [PubMed]5. Smith SB, Maixner DW, Greenspan JD, Dubner R, Fillingim RB, Ohrbach R, et al. Potential genetic risk factors for chronic TMD: genetic associations from the OPPERA case control study. J Pain 2011; 12: (11 Suppl):T92–101.
[Article] [PubMed] [PMC]6. Breul R. Biomechanical analysis of stress distribution in the temporomandibular joint. Ann Anat 2007; 189: 329–35.
[Article] [PubMed]7. Breul R, Mall G, Landgraf J, Scheck R. Biomechanical analysis of stress distribution in the human temporomandibular-joint. Ann Anat 1999; 181: 55–60.
[Article] [PubMed]8. del Palomar AP, Santana-Penín U, Mora-Bermúdez MJ, Doblaré M. Clenching TMJs-loads increases in partial edentates: a 3D finite element study. Ann Biomed Eng 2008; 36: 1014–23.
[Article] [PubMed]9. Santana-Mora U, Martínez-Ínsua A, Santana-Penín U, del Palomar AP, Banzo JC, Mora MJ. Muscular activity during isometric incisal biting. J Biomech 2014; 47: 3891–7.
[Article] [PubMed]10. Tanaka E, Detamore MS, Mercuri LG. Degenerative disorders of the temporomandibular joint: etiology, diagnosis, and treatment. J Dent Res 2008; 87: 296–307.
[Article] [PubMed]11. Inui M, Fushima K, Sato S. Facial asymmetry in temporomandibular joint disorders. J Oral Rehabil 1999; 26: 402–6.
[Article] [PubMed]12. Santana-Mora U, López-Cedrún J, Suárez-Quintanilla J, Varela-Centelles P, Mora MJ, Da Silva JL, et al. Asymmetry of dental or joint anatomy or impaired chewing function contribute to chronic temporomandibular joint disorders. Ann Anat 2021; 238: 151793.
[Article] [PubMed]13. Suvinen TI, Reade PC, Kemppainen P, Könönen M, Dworkin SF. Review of aetiological concepts of temporomandibular pain disorders: towards a biopsychosocial model for integration of physical disorder factors with psychological and psychosocial illness impact factors. Eur J Pain 2005; 9: 613–33.
[Article] [PubMed]14. Schiffman E, Ohrbach R, Truelove E, Look J, Anderson G, Goulet JP, et al. Diagnostic Criteria for Temporomandibular Disorders (DC/TMD) for clinical and Research Applications: recommendations of the international RDC/TMD consortium network* and orofacial pain special interest group. J Oral Facial Pain Headache 2014; 28: 6–27.
[Article] [PubMed]15. Lobbezoo F, Ahlberg J, Raphael KG, Wetselaar P, Glaros AG, Kato T, et al. international consensus on the assessment of bruxism: report of a work in progress. J Oral Rehabil 2018; 45: 837–44.
[Article] [PubMed] [PMC]16. Nickerson JW, Moystad A. Observations on individuals with radiographic bilateral condylar remodeling. J Craniomandibular Pract 1982; 1: 20–37.
[Article] [PubMed]17. Katzberg RW, Tallents RH, Hayakawa K, Miller TL, Goske MJ, Wood BP. Internal derangements of the temporomandibular joint: findings in the pediatric age group. Radiology 1985; 154: 125–7.
[Article] [PubMed]18. Fushima K, Akimoto S, Takamoto K, Sato S, Suzuki Y. Morphological feature and incidence of TMJ disorders in mandibular lateral displacement cases. Nihon Kyosei Shika Gakkai Zasshi 1989; 48: 322–8.
[PubMed]19. Manfredini D, Segù M, Arveda N, Lombardo L, Siciliani G, Rossi A, et al. Temporomandibular joint disorders in patients with different facial morphology. A systematic review of literature. J Oral Maxillofac Surg 2016; 74: 29–46.
[PubMed]20. Ananthan S, Pertes RA, Bender SD. Biomechanics and derangements of the temporomandibular joint. Dent Clin North Am 2023; 67: 243–57.
[Article] [PubMed]21. Voerman GE, Vollenbroek-Hutten MM, Hermens HJ. Changes in pain, disability, and muscle activation patterns in chronic whiplash patients after ambulance myofeedback training. Clin J Pain 2006; 22: 656–63.
[PubMed]22. Tate JJ, Milner CE. Real-time kinematic, temporospatial, and kinetic biofeedback during gait retraining in patients: a systematic review. Phys Ther 2010; 90: 1123–34.
[Article] [PubMed]23. Florjanski W, Malysa A, Orzeszek S, Smardz J, Olchowy A, Paradowska-Stolarz A, et al. Evaluation of biofeedback usefulness in masticatory muscle activity management - a systematic review. J Clin 2019; 30: 766–34.
[Article]24. Goodeeps, Miraclare Co., Ltd., Republic of Korea. Available at: https://miraclare.com/#what_we_make_1.
