맹출 전 치관 내 흡수 치아의 수복 치료: 증례 보고
Restorative management of teeth with pre-eruptive intracoronal resorption: A case report
-
Su-Hyun Park
, Myeong-Kwan Jih
, Nan-Young Lee*
- Received August 4, 2025 Revised November 24, 2025 Accepted December 4, 2025
- ABSTRACT
-
Pre-eruptive intracoronal resorption (PEIR) is a non-carious radiolucent defect typically found within the dentin of unerupted teeth. This report describes three pediatric cases involving PEIR in a mandibular second molar, maxillary canine, and maxillary first premolar, each showing unique clinical and radiographic features. Treatment decisions were based on lesion size, pulpal proximity, eruption stage, and symptoms, and included surgical exposure, indirect or direct pulp capping with calcium silicate-based materials, and restoration using glass ionomer cement or composite resin. Follow-up periods ranging from several months to 10 years revealed stable outcomes without lesion progression, symptoms, or need for endodontic therapy. These cases highlight the importance of early radiographic detection, individualized management, and long-term monitoring. Clinicians should carefully assess panoramic radiographs in mixed dentition to identify PEIR, particularly in less commonly affected teeth, and tailor treatment according to lesion activity and anatomical considerations.
- 서론
- 서론
맹출 전 치관 내 흡수(Pre-eruptive intra-coronal resorption, PEIR)는 맹출되지 않은 치아의 법랑-상아질 접합부 인근 상아질에서 관찰되는, 경계가 뚜렷한 비정상적인 방사선 투과성 병소를 의미한다[1]. 과거에는 임상 검사 상 정상으로 보이는 법랑질 아래에 위치한 병소라는 점에서 'hidden caries' 또는 'occult caries'라는 용어로 불리기도 했으나, 이후 이 병소가 우식이 아닌 맹출 전 흡수로 인해 발생한다는 사실이 밝혀지면서 현재는 'PEIR'라는 용어가 보다 일반적으로 사용되고 있다[2,3]. 1941년에 처음으로 이러한 병소가 문헌에 등장하였으며, 지금까지 약 90건 이상의 관련 연구가 추가로 발표되어 왔다[4].PEIR의 유병률은 방사선 사진의 종류 및 인구통계학적 특성에 따라 차이를 보이며, 치아 단위 유병률은 0.2–3.5%, 환자 단위 유병률은 0.2–27.5%까지 다양한 것으로 보고되고 있다[1]. 최근 국내에서 시행된 파노라마 방사선 사진을 이용하여 유병률을 조사한 연구에서는 환자당 유병률이 2.5%로 보고되었다. 병소는 주로 구치부에서 발생하며, 그 중 하악 제1대구치에서 가장 높은 발생률을 보이는 것으로 알려져 있다. 드물지만 견치 부위에서도 병소가 관찰되기도 한다[5].PEIR의 치료 방법은 병소의 범위와 임상 증상에 따라 맹출 전 수복, 맹출 후 수복, 발치의 세 가지로 분류된다[1]. 병소가 법랑-상아질 경계로부터 치수까지의 거리의 절반을 넘지 않는 경우, 치아가 맹출할 때까지 기다린 이후 수복 치료를 시행할 수 있다[6]. 반면, 병소가 크고 치아의 맹출이 임박한 경우에는 병소가 치수까지 진행되는 것을 방지하기 위해 즉각적인 수복 치료가 권장된다. 병소가 매우 광범위하고 통증이나 종창 등의 증상이 동반되는 경우, 치수 치료를 시도하거나 필요에 따라 발치를 고려할 수 있다[7,8].PEIR은 대부분 혼합치열기의 맹출 전 치아에서 발생하기 때문에, 방사선 사진을 통한 조기 진단 및 적절한 치료에 대한 중요성이 지속적으로 강조되어 왔다[9]. 그러나 흡수 형태의 다양성과 병소 진행 정도의 차이, 진단의 지연, 맹출 시기 이후 경과관찰의 단절 등의 여러 임상적 변수가 존재하므로 개별화된 치료 접근이 요구된다. 이에 본 증례보고에서는 PEIR 병소에 대해 치수 복조술 또는 치은판 절제술을 병행하여 수복한 사례를 제시하고, 이를 바탕으로 효과적인 관리 및 치료 전략에 대해 논의하고자 한다.
- 증례
- 증례
- 증례 1
- 증례 1
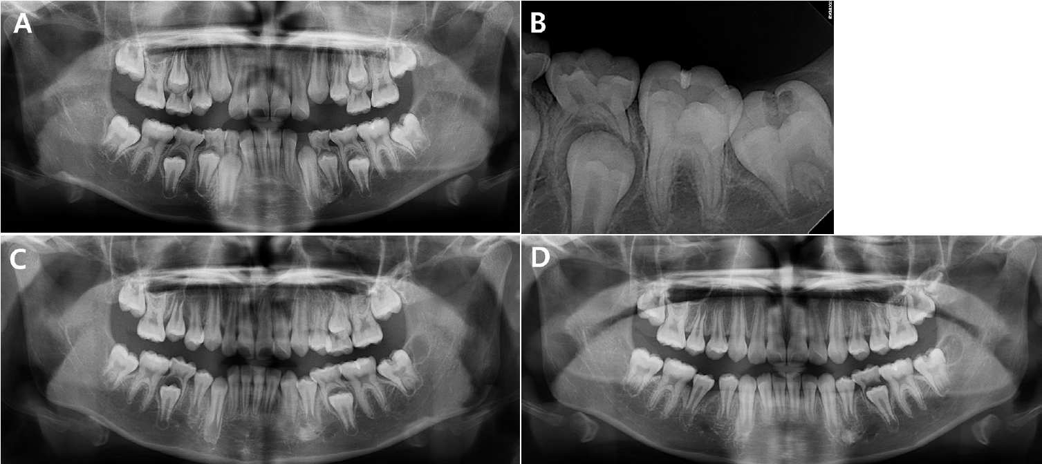
10세 여아가 미맹출된 하악 좌측 제2대구치의 방사선 투과상이 관찰된다는 주소로 개인 의원에서 조선대학교 치과병원 소아치과에 의뢰되었다. 환아는 특이 의학적 병력이 없었고, 임상적으로도 증상은 나타나지 않았다. 내원 당시 구강 내 임상 검사에서는 특이 소견이 관찰되지 않았으며, 방사선학적 검사에서 미맹출된 하악 좌측 제2대구치의 치관부에 방사선 투과상이 확인되어 PEIR으로 진단하였다(Figs. 1A and B).초진 당시 병소의 위치가 깊어 치은판절제술을 시행하더라도 접근이 어려울 것으로 판단되었으며, 이에 따라 6개월 간격의 정기검진을 통해 병소의 진행 양상과 맹출 상태를 관찰하며 적절한 치료 시기를 결정하기로 하였다.6개월 후 내원하여 촬영한 파노라마방사선사진에서 해당 치아의 맹출이 진행 중인 것이 확인되었고, 병소의 크기나 형태에는 변화가 없어 추가 맹출 이후 수복하기로 계획하고 6개월 뒤 재내원을 안내하였다(Fig. 1C). 초진으로부터 12개월 경과 시 하악 좌측 제2대구치는 여전히 출은하지 않았으나, 하악 우측 제2대구치의 출은이 확인되어 내원 간격을 3개월로 조정하였다(Fig. 1D).3개월 후 재내원 시 하악 좌측 제2대구치의 출은이 관찰되어 수복 치료를 시행하기로 결정하였다(Fig. 2A). 국소마취하에 치은판 절제술을 시행하여 치관 전반을 노출하였고 협면과 교합면에 걸쳐 흡수성 와동이 확인되었다. 특히 협측에 깊은 병소가 존재하였으며, 와동 내부는 연조직으로 채워져 있었다. 병소를 저속 핸드피스와 수기구를 이용하여 제거한 후, 광중합형 GI (Riva Light Cure, SDI, Victoria, Australia)로 충전하였다.- 증례 2
- 증례 2
다발성 치아 맹출 장애로 본원에서 치료 중이던 13세 남아에서, 상악 좌측 견치와 제1소구치의 견인을 위한 외과적 노출술 시행 중 두 치아의 치관 교두정 부위에서 부분적 결손이 관찰되었다(Fig. 3C). 환아는 특이한 의학적 병력이 없었으며, 과거 촬영된 방사선 사진에서 해당 치아의 치관부에 방사선 투과상이 관찰되어 PEIR으로 진단하였다(Figs. 3A and B).외과적 노출 시 병소의 입구를 조심스럽게 제거한 결과, 상악 좌측 견치와 제1소구치 모두에서 치수와 개통된 광범위한 흡수성 병소가 확인되었다. 이에 두 치아에 직접 치수 복조술을 시행하였으며, calcium silicate 계열 복조재인 Biodentine (Septodont Corp., Paris, France)을 적용한 뒤, GI (Riva, SDI, Victoria, Australia)를 충전하였다(Figs. 4A and B).이후 11개월 경과 시 견인술을 통해 치아의 맹출이 이루어졌고, 임상 및 방사선학적 검사에서 이상 소견이 관찰되지 않았다(Figs. 4C and D). GI 수복물을 제거하고 접착제(Scotchbond Universal Adhesive, Solventum, St. Paul, MN, USA)를 도포한 후 복합레진(Filtek Z250 Universal Restorative A2, Solventum, St. Paul, MN, USA)을 이용한 영구 수복을 시행하였다. 환아는 이후 장기간 본원에 내원하여 정기적인 경과 관찰을 받았으며, 9년 간의 추적관찰 기간 동안 별다른 증상은 발생하지 않았으며 치관부에 잔존하는 치관부 방사선 투과상은 변화 없이 유지되었다. (Figs. 5A-C). 9년 후 임상검사 상 치관부의 변색 및 방사선 사진 상 삼차 상아질 형성이 관찰되었으며 추가적인 치료는 시행하지 않았다(Figs. 5D and E).- 증례 3
- 증례 3
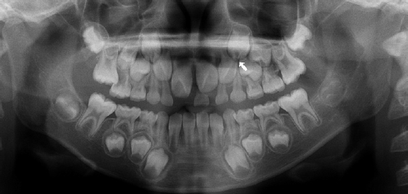
7세 남아가 교정 치료를 주소로 조선대학교 치과병원 소아 치과에 내원하였다. 방사선학적 검사 상 발육 중인 상악 좌측 견치 치배의 교두정에서 방사선 투과상이 발견되었으며, 별다른 임상 증상은 존재하지 않았다(Fig. 6). 해당 병소를 PEIR으로 진단하고 경과관찰 후 수복치료를 계획하였다.추적관찰 3년째, 정기검진 시 환아의 구내에서 상악 좌측 견치의 맹출이 확인되었다. 임상 및 방사선학적 검사 결과, 견치 교두정을 중심으로 한 흡수성 와동이 관찰되었다(Fig. 7). 환아는 자각 증상을 호소하지 않았고, 타진 검사에서 음성 반응을 보였으며, 전기 치수 반응 검사(Gentle-pulse, Parkell, Edgewood, NY, USA) 시행 시 3에서 양성 반응을 나타내었다. 방사선학적 검사 상 치수와의 근접성을 고려하여 치수 복조술을 동반한 수복 치료를 시행하기로 하였다.치료 시 병소의 입구를 넓히고 병변 부위를 제거한 후, 간접 치수복조술을 시행하였다. 칼슘 실리케이트 계열의 복조재인 TheraCal PT (BISCO, Schaumburg, IL, USA)를 적용한 후 GI 베이스(Fuji IX GP, GC Corp., Tokyo, Japan)를 이장하고, 접착제(Scotchbond Universal Adhesive, Solventum, St. Paul, MN, USA)를 도포한 후 복합레진(Filtek Z250 Universal Restorative A2, Solventum, St. Paul, MN, USA)으로 충전하였다(Figs. 8A-C). 일주일 뒤 재내원 시 시행한 임상 및 방사선학적 검사에서 특이 소견은 관찰되지 않았다(Fig. 8D).
본 증례 논문은 조선대학교 치과병원 기관생명윤리위원회의 심의 후(CUDHIRB 2507 001) 작성하였다.
- 고찰
- 고찰
PEIR은 아직 병인이 명확히 밝혀지지 않은 병변으로, 여러 가지 가능한 원인에 대한 가설이 제시되어 왔다. 후천적 원인으로 제안된 가설 중 하나는 유치의 치근단 염증으로, 이로 인해 염증성 세포가 계승 영구치에 영향을 미친다는 주장이다. 그러나 대부분의 PEIR 병소가 제1·2대구치와 같이 계승치가 아닌 치아에서 관찰된다는 점에서, 이 가설은 병인으로서의 설득력이 낮은 것으로 평가된다. 또한, 우식증도 병인 후보로 언급되지만, 맹출 이전 치아는 구강 내 세균에 노출되지 않기 때문에 병소 내 미생물이 존재할 가능성이 낮으며, 이에 따라 우식에 의한 병소 발생 가능성은 제한적이다. 다만, 맹출 이후에는 병소가 빠르게 세균에 감염되어 일반적인 우식 병소와 감별이 어려워질 수 있다.선천적 요인으로는 법랑질 형성부전증(amelogenesis imperfecta)이나 기타 법랑질 발육 이상, 구조적 결함이 제시된 바 있으며, 발달 중인 치관 구조의 취약성이 병소 형성에 기여할 수 있다는 보고가 있다. 실제로, 법랑질 형성부전증 환자에서 다수의 심한 치관 내흡수가 관찰된 증례들이 보고되어 있다[10].한편, 조직학적 증거에 기반한 병태생리적 설명도 제시되어 왔다. 여러 연구에서는 PEIR 병소 내에서 다핵거대세포, 파골세포, 만성 염증세포가 확인되었고, 병소와 정상 상아질 사이에는 거친 시멘트질 유사 물질이 관찰되었다. 병소와 치수강 사이에는 염증 반응이나 이차 상아질 형성이 동반되지 않는다는 점도 보고되었는데, 이러한 소견은 PEIR이 흡수성 병변의 성격을 지닌다는 점을 시사한다[11].그러나 이 같은 조직학적 소견은 병인의 직접적 원인이라기보다는 결과로서의 조직 반응일 가능성이 있으며, 단일 기전으로 질환의 발생을 설명하기는 어렵다. 현재는 형성 중인 치관(crown formation) 구조의 손상으로 인해 흡수세포가 상아질에 침투하게 되는 기전이 제안되고 있다[2]. 특히 퇴축 법랑상피(reduced enamel epithelium)와 같은 보호층의 연속성이 방해받을 경우, 흡수세포가 침투할 수 있는 경로가 열리게 되고, 이로 인해 병소가 형성될 수 있다는 설명이다[1].이러한 기전은 이소성 위치(ectopic positioning)와 같은 국소적 해부학적 요인과도 관련된다. 이소성 위치에서 발생하는 압력이 발달 중인 법랑상피층에 손상을 유발함으로써, 흡수세포가 작용할 수 있는 환경을 제공할 수 있기 때문이다. 본 증례의 두 번째 환아에서도 이소성 위치에 있었던 두 개의 치아에서 병소가 확인되었으며, 이는 관련 가능성을 시사한다. 다만, 이소성과 PEIR 간의 연관성에 대해서는 연구 결과가 상이하다. 일부 연구에서는 최대 51.9%에서 관련성을 보고한 반면, 다른 연구에서는 단일 증례만 확인되기도 하였다. 따라서 명확한 인과관계를 규명하기 위해서는 추가적인 연구가 필요하다.PEIR은 일반적으로 대구치 부위에서 가장 높은 발생률을 보인다. Ahn(2021)은 국내 연구에서 하악 제1대구치에서 가장 흔하게 발생한다고 보고하였으며, 그 외 상악 제2대구치와 하악 제2대구치 순이었다[5]. 반면, 최근 Deepa 등이 발표한 문헌 고찰에서는 하악 소구치와 상악 견치에서의 호발 경향을 제시하여 상이한 분포 양상을 보였다[4].본 증례들에서는 하악 제2대구치, 상악 견치, 상악 제1소구치에서 병소가 관찰되었으며, 특히 상악 견치에서 두 증례가 포함되어 기존 국내 연구에서 상대적으로 비중이 낮았던 부위에서도 병소가 흔히 발생할 수 있음을 시사하였다. 이는 임상가가 파노라마 방사선 사진 판독 시 이들 부위에 대해서도 면밀한 관찰이 필요함을 의미한다.병소의 위치는 대개 법랑-상아질 경계 직하방의 상아질에 형성되지만, 치관 중심, 근심, 원심 등 다양한 부위에서 나타날 수 있다. 하악 대구치의 경우 협측 소와 부위 병소가 흔하며, 본 증례의 첫 번째 예에서도 협면과 교합면 병소가 함께 관찰되었다[5]. 상악 견치의 경우 두 증례 모두 교두정 부위 병소였으며, 이는 일반적인 우식 병소와는 다른 양상을 보여 감별 진단에 참고가 될 수 있다.PEIR의 치료는 병소 발견 시점, 예상 맹출 시기, 병소의 크기 및 진행 속도에 따라 달라질 수 있다. 병소가 치수에 도달한 경우에는 치수 치료가 병행되어야 하므로, 병소가 진행성인지 정지성인지 판단하기 위해 정기적인 방사선 추적 관찰이 필요하다. 첫 번째 증례에서는 병소의 크기가 6개월 간격 촬영에서 변화를 보이지 않아, 치아의 추가 맹출 이후 수복하는 것이 더 효과적이라 판단하였다. 이러한 경과 관찰을 통해 적절한 치료 시기를 결정할 수 있었다.병소의 진행 양상은 다양하며, 6개월~1년 간격의 방사선 추적이 권장된다[1]. 병소가 치수와 일정 거리 이상 떨어져 있고 진행이 없을 경우, 맹출 후에 수복을 시행할 수 있다[12]. 반면, 치수에 근접하거나 빠른 진행이 의심될 경우에는 조기에 외과적 개입이 필요하며, 판막을 열고 병소를 제거한 뒤 적절한 수복 처치를 시행해야 한다.PEIR 병소는 치수(pulp)가 아니라 치낭(dental follicle)으로부터 영양 공급을 받기 때문에, 치아가 맹출하거나 외과적으로 치관이 노출되는 순간 영양 공급원이 소실되고 병소 내부의 생활성 조직은 괴사하게 된다. 그 결과 치관 내에는 비활성화된 조직이 잔존하는데, 이 조직 자체는 해롭지 않지만 우식에 빠르게 이환될 가능성이 있다. 따라서 맹출 직후 이러한 병소의 조기 처치가 필요하지만, 완전한 와동 형성이나 내부 조직의 전면적 제거는 반드시 요구되지 않고 수기구를 이용한 제거가 주로 사용된다[13]. 특히 최근 맹출한 치아는 치수강이 넓기 때문에, 병소를 완전히 제거하기 위한 적극적인 와동 형성은 오히려 치수 노출의 위험을 증가시킨다. 따라서 본 증례에서도 수기구를 이용한 최소한의 제거만을 시행하였다. 장기간 관찰에서 보였던 방사선 투과상과 치관부의 변색은 제거되지 않고 잔존한 조직과 연관된 것으로 판단된다. 이는 일부 조직학적 연구에서 PEIR 병소 상부에 육아조직이 존재한다는 보고가 있으며, 이러한 육아조직은 내흡수 병소에서 관찰되는 분홍빛 변색과 관련이 있기 때문이다[14,15].외과적 노출 이후의 초기 수복에는 GI가 적합한데, 우수한 접착력, 낮은 수분 민감성, 빠른 경화, 조작성, 불소 방출 등의 이점이 있다[1]. 실제로 본 증례에서도 초기 수복 재료로 GI를 적용하였고, 이후 맹출이 완료된 후에는 복합레진으로 영구 수복을 진행하였다. 병소가 치수와 인접한 경우에는 치수 생활력의 보존을 위해 치수복조술을 시행할 수 있으며, 이때 수산화칼슘, 글래스아이오노머, 칼슘실리케이트계 재료 등이 사용될 수 있다. 본 증례에서는 TheraCal PT를 이용하여 간접 치수복조술을 시행하였고, 치수 노출이 확인된 경우에는 Biodentine을 적용하여 직접 치수복조술을 실시하였다. Biodentine은 우수한 조작성과 짧은 경화시간, 변색 위험이 낮다는 장점을 지니며, 높은 생체적합성과 경조직 형성 능력을 바탕으로 치수복조술뿐만 아니라 치수절단술까지 적용 가능한 대표적인 칼슘실리케이트계 재료이다[16]. Theracal PT는 resin-modified 칼슘 실리케이트계 재료로, 조작성 및 경화 특성이 향상되었고 dual-cure 시스템을 통해 기존의 TheraCal LC보다 개선된 성능을 보이며, 일부 in-vitro 연구에서는 Biodentine이나 ProRoot MTA와 유사한 세포적합성과 광물화 유도능이 보고되었다[17,18]. 그러나 다른 연구에서는 낮은 세포생존율 또는 높은 세포독성을 나타내며[19], 또한 동물 모델에서 Biodentine에 비해 불리한 치수 반응과 경조직 형성을 보였다는 보고도 존재한다[20]. 이러한 상충된 근거들을 고려하여, 본 증례에서는 임상적으로 치수 노출이 없는 경우에 한하여 TheraCal PT를 제한적으로 사용하였다.PEIR은 임상 증상만으로는 진단이 어려운 경우가 많으므로, 방사선학적 평가가 핵심적인 진단 수단이다. 혼합치열기 아동의 파노라마 방사선 사진 판독 시에는 맹출 예정 영구치의 치관부 병소 유무를 주의 깊게 관찰해야 한다. 병소가 조기에 발견되면, 진행 양상과 맹출 시기를 고려한 적절한 개입이 가능하다. 임상가는 PEIR이 일반적인 우식 병소와는 다른 병태 생리를 지닌다는 점을 충분히 인식하고, 조기 발견과 예방에 주의를 기울여야 할 것이다.본 증례를 통해 맹출 전 치관 내 흡수는 다양한 위치와 형태로 나타날 수 있으며, 병소의 크기 및 치아의 맹출 상태에 따라 치료 전략이 달라져야 함을 확인할 수 있었다. 조기 발견과 정기적인 방사선 추적 관찰은 병소의 진행 여부를 판단하고 적절한 치료 시점을 결정하는 데 필수적이다. PEIR는 전형적인 우식 병소와는 양상이 다르므로, 임상가는 혼합치열기 파노라마 방사선 사진 판독 시 미맹출 치아의 치관부 병소를 면밀히 관찰하고, 병소의 위치와 깊이를 고려한 개별화된 치료 계획을 수립해야 한다. 본 증례들은 PEIR 병소에 대한 다양한 임상 양상과 치료적 접근의 실제 예시로 활용될 수 있다.
- NOTES
- NOTES
Figure 1.
Preoperative radiographs. A radiolucent lesion is observed in the coronal portion of tooth #37. A. Panoramic view at the initial visit. B. Periapical view at the initial visit. C. Panoramic radiographs taken during the follow-up period. At 6 months, an eruptive pattern of tooth #37 is observed. D. At 12 months, tooth #47 begins to emerge through the gingiva.
Figure 2.
Radiographs and intraoral photographs during treatment. A. Periapical radiograph taken at 15 months. A decision is made to proceed with restorative treatment. B. Periapical radiograph taken at six-month follow-up after restoration. C. Intraoral clinical photograph after restoration.
Figure 3.
Preoperative radiographic images and intraoral photographs. A. Panoramic radiograph. B. Cone-beam computed tomography image. C. A coronal defect is identified upon flap reflection.
Figure 4.
Intraoral photographs and intraoral radiograph during treatment. A. Following Biodentine placement. B. Following GI application. C. After approximately 3 months of orthodontic traction, the tooth erupted, and the GI restoration remained intact. D. Periapical radiograph after eruption.
Figure 5.
Radiographs and Intraoral photographs during follow-up. A. 3-year follow-up. B. 6-year follow-up. C. 9-year follow-up. D. Periapical radiograph at 9-year follow-up. E. Intraoral clinical photograph at 9-year follow-up.
Figure 6.
Panoramic radiograph taken at 7 years old. A radiolucent area is observed in the developing crown of tooth #23.
Figure 7.
Preoperative clinical and radiographic images. A. A white discoloration is noted on the cusp tip of tooth #23. B. Clinical view from the occlusal aspect shows a resorptive lesion centered on the cusp tip. C. Periapical radiograph.
Figure 8.
Clinical photographs during treatment. A. The cavity entrance is enlarged. B. After application of TheraCal PT. C. After completion of resin restoration. D. Postoperative periapical radiograph.
- REFERENCES
- REFERENCES
- 1. Al-Batayneh O, AlTawashi E. Pre-eruptive intra-coronal resorption of dentine: a review of aetiology, diagnosis, and management. Eur Arch Paediatr Dent 2020; 21: 1–11.
[Article] [PubMed]2. Seow WK. Pre-eruptive intracoronal resorption as an entity of occult caries. Pediatr Dent 2000; 22: 370–376.
[PubMed]3. Jung SH, Song JS, Shin TJ, Hyun HK, Kim YJ, Kim JW, et al. Relationship between pre-eruptive buccal pit radiolucency and restoration in mandibular first molar. J Korean Acad Pediatr Dent 2018; 45: 57–64.
[Article]4. Gurunathan D, Pandiar D, Krishnan RP. Global prevalence of pre eruptive intracoronal resorption (PEIR) of teeth: a systematic review of literature. Eur Arch Paediatr Dent 2025; 26: 225–232.
[Article] [PubMed]5. Ahn Y, Yang Y, Hwang J, Jeong T, Shin J. The prevalence and characteristics of pre-eruptive intracoronal radiolucencies in children and adolescents. J Korean Acad Pediatr Dent 2021; 48: 160–167.
[Article]6. Moskovitz M, Holan G. Pre-eruptive intracoronal radiolucent defect: a case of a nonprogressive lesion. J Dent Child 2004; 71: 175–178.7. Yang S, Kim J, Choi N, Kim S. Management of infected immature permanent tooth with pre-eruptive intracoronal resorption: two case reports. J Korean Acad Pediatr Dent 2017; 44: 220–227.
[Article]8. Klambani M, Lussi A, Ruf S. Radiolucent lesion of an unerupted mandibular molar. Am J Orthod Dentofacial Orthop 2005; 127: 67–71.
[Article] [PubMed]9. Al-Batayneh O, AlJamal G, AlTawashi E. Pre-eruptive intracoronal dentine radiolucencies in the permanent dentition of Jordanian children. Eur Arch Paediatr Dent 2014; 15: 229–236.
[Article] [PubMed]10. Miloglu O, Karaalioglu OF, Caglayan F, Yesil ZD. Pre-eruptive coronal resorption and congenitally missing teeth in a patient with amelogenesis imperfecta: a case report. Eur J Dent 2009; 3: 140–144.
[Article] [PubMed] [PMC]11. Alon E, Amato RB, Ptak DM. Pre-eruptive intracoronal resorption (PEIR): a case report. J Endod 2023; 49: 224–228.
[Article] [PubMed]12. Ghedira A, Masmoudi F, Baaziz A, Fethi M, Ghedira H. Treatment of pre-eruptive intracoronal resorption: a scoping review. Eur J Paediatr Dent 2020; 21: 227–234.
[PubMed]13. Spierer WA, Fuks AB. Pre-eruptive intra-coronal resorption: controversies and treatment options. J Clin Pediatr Dent 2014; 38: 326–328.
[Article] [PubMed]14. Omar S, Choi J, Nelson B, Shin M, Chen JW. Pre-eruptive intracoronal resorption (PEIR): literature review and case report. J Calif Dent Assoc 2015; 43: 255–260.
[Article] [PubMed]15. Mortazavi H, Baharvand M, Khodadoustan A. Colors in tooth discoloration: a new classification and literature review. Int J Clin Dent 2014; 7: 17–27.16. Malkondu Ö, Karapinar Kazandağ M, Kazazoğlu E. A review on biodentine a contemporary dentine replacement and repair material. Biomed Res Int 2014; 2014: 160951.
[Article] [PubMed] [PMC]17. Sanz JL, Soler-Doria A, López-García S, García-Bernal D, Rodríguez-Lozano FJ, Lozano A, et al. Comparative biological properties and mineralization potential of 3 endodontic materials for vital pulp therapy: Theracal PT, Theracal LC, and Biodentine on human dental pulp stem cells. J Endod 2021; 47: 1896–1906.
[Article] [PubMed]18. Park SH, Ye JR, Asiri NM, Chae YK, Choi SC, Nam OH. Biocompatibility and bioactivity of a dual-cured resin-based calcium silicate cement: in vitro and in vivo evaluation. J Endod 2024; 50: 235–242.
[Article] [PubMed]
