콘빔전산화단층촬영을 통한 유합치의 진단 및 조직학적 분석: 증례 보고
Cone-beam computed tomographic and histologic examination of teeth concrescence: A case report
-
Jae-Wook Jeong1,*
, Gyu-Tae Kim2
- Received October 16, 2025 Revised November 12, 2025 Accepted December 30, 2025
- ABSTRACT
-
Concrescence represents a rare tooth abnormality in which adjacent teeth are united in the cementum. Since the crown of a tooth has a standard anatomical structure, concrescence is not easily diagnosed clinically. In fact, it is easy to mistake concrescence as just overlapping in the radiograph of two adjacent teeth. The presence of concrescent teeth may influence the extraction of teeth, endodontic treatment, and even orthodontic treatment. Therefore, the possibility of these abnormalities in diagnosis and treatment plans should be considered for over-lapped teeth. This case report demonstrates the diagnosis of concrescence through preoperative cone-beam computed tomography and the subsequent histological analysis of the extracted tooth.
- 서론
- 서론
인접한 두 치아의 결합은 법랑질과 상아질, 그리고 백악질에서 발생할 수 있다. 치아의 결합이 어느 부위에서 일어났는지에 따라 여러 가지의 결합 형태가 나타날 수 있지만 대부분의 결합은 발육 중에 일어난다. 결합이 발생한 부위에 따라 이를 융합, 쌍생, 쌍결절형성, 유합으로 분류한다[1-4].융합(fusion)은 두 개의 독립된 치배가 발육 중 상아질과 법랑질 부위에서 결합한 것으로 융합치는 방사선사진 상 2개의 독립된 치수강과 치근관이 관찰된다. 융합치는 유치의 전치부에서 자주 보고되는 경향이 있으며 융합치 중앙에 융합선이 있어서 치아우식증이 생길 가능성이 높다[1]. 쌍생(gemination)은 한 개의 치아 또는 치배 내에 조직이 함입되어 2개의 치아로 분리되는 경우로 치근은 1개이나 치관은 2개로 나뉘어 있다[2]. 쌍결절형성치(twinning)란 한 개의 치배에서 완전히 독립된 2개의 치아가 형성되는 것으로 둘 중 1개의 치아는 과잉치로 간주된다[3,4]. 그러나 백악질 부위에서 결합하는 유합(concrescence)은 치근단 완성 후에도 발생할 수 있는 유일한 결합 형태이다[5]. 이러한 유합은 진단이 용이하지 않은 경우가 대부분이며, 이는 다양한 각도에서 촬영된 방사선 사진의 비교를 통해서도 두 치아가 사진에서 겹쳐 보이는 것으로 오인하기 쉽기 때문이다. 이러한 오진은 유합치의 근관 치료나 치주, 외과적 치료 시에 영향을 미칠 수 있다. 콘빔전산화단층촬영(Cone Beam CT; CBCT)은 유합치의 정확한 진단을 위해 가장 유용한 방법이다[6-8]. 우리는 술 전 CBCT를 통해 상악 제2대구치와 제3대구치의 유합을 정확히 진단하고, 발치한 치아를 조직학적으로 분석하여 유합으로 확진한 증례를 보고하고자 한다.
- 증례
- 증례
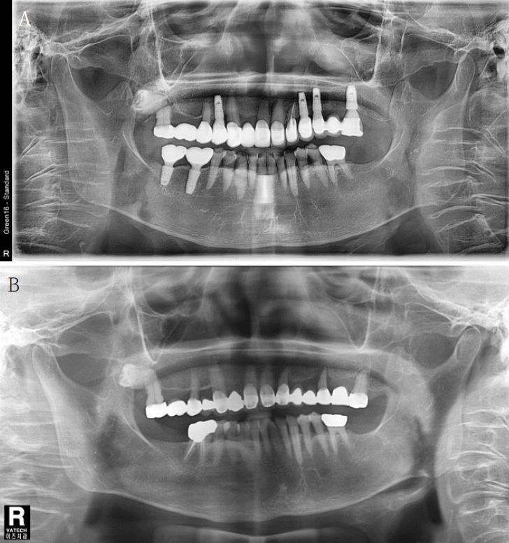
만 79세의 여환이 수개월 전부터 지속된 상악 우측 구치부 보철물의 동요 및 통증을 주소로 내원하였다. 임상 검사와 방사선 검사를 통하여 상악 우측 제2소구치와 제2대구치를 지대치로 하는 고정성 가공의치의 동요 및 동 부위 치주조직의 염증 상태를 관찰하였다(Fig. 1A). 고혈압약과 아스피린 복용 등의 의과 병력을 확인하였다.환자는 12년 전 동 치과에 상악 좌측 구치부의 통증을 주소로 처음 내원하여, 해당 부위의 발치를 시행하고 치과용 임플란트 시술을 시행하였다. 12년 전 내원 시 촬영한 파노라마방사선영상에서 상악 우측 제2대구치 부위의 수평적 골흡수가 관찰되었고 상악은 전체 치아가 수복된 상태였다. 상악 우측 제3대구치는 매복되었으며 상악 제2대구치와 근접하였다(Fig. 1B).이번 내원 시 촬영한 파노라마방사선사진에서 우측 상악 제2대구치의 치근단 주위까지 진행된 수직 골결손이 관찰되어 동 치아의 발치를 계획하였다(Fig. 1A). 12년 전 초진 방사선영상과 마찬가지로 제3대구치가 근접하였고 그 위치가 움직이지 않았으므로 두 치아 관계의 자세한 분석을 위하여 CBCT(PHT-65LHS, Vatech, Hwaseong, Korea)를 촬영하였다(Fig. 2). CBCT는 94kVp, 8mA, 536x536x300pixels의 조건에서 촬영하여 FOV 161x90mm의 영상을 획득하였다. CBCT 영상에서 제2대구치와 제3대구치의 근접한 치근 부위는 주변 상아질보다 약간 낮은 방사선 흑화도를 보이는 부위가 관찰되었고 치근은 구근상을 보여 과백악질증의 소견을 확인할 수 있었으며, 그 부위의 백악질이 유합된 것으로 판단하여 유합으로 잠정 진단하였다.방사선영상 검사 결과 통상의 겸자 발치술과 치조골 삭제를 고려하는 발치 계획을 수립하였다. 상악 제2대구치의 고정성 가공의치 제거 후, 치아는 협설 및 수직 동요를 보였다. 발치 시 협설뿐만 아니라 원심 방향으로도 발치겸자를 기울여 충분한 동요를 확보한 이후, 조심스럽게 유합된 두 치아를 발치하였다. 발치 중 치조골 파절이나 두 치아의 분리 등은 발생하지 않았고, 치조골의 삭제 없이 발치를 완료하였다. 발치 부위의 염증조직을 제거하고 4-0 black silk로 봉합 후, 통상적인 소염진통제, 항생제 및 소화제 등을 3일 처방하였다. 일주일 후 발사 시행 시 발치 부위는 정상적인 치유 양상을 보였다.발거된 치아는 임상사진 및 치근단방사선영상(VEX-S300C, EzSensor IOS-U15VB, Vatech, Hwaseong, Korea)을 촬영하였다. 임상 사진에서 각 치아의 크기의 이상은 없었으나 두 치아의 치근이 서로 붙어있었다(Fig. 3A). 치근단방사선영상에서 치근 사이에 상아질보다 약간 낮은 방사선 불투과성 부분이 관찰되었으며 각 치아의 독립된 치수강이 존재하였다(Fig. 3B).해당 치아를 탈회 후 Hematoxylin and eosin 염색하여 제작한 조직 절편을 광학 현미경 하에 관찰하였다(Fig. 4). 중앙 부위를 기준으로 두 치아는 직각에 가깝게 유합되어 서로 다른 절단 방향의 치근 단면이 관찰되었다(Fig. 4A). 두 치아 모두 유합된 부위 주변으로 백악질이 과증식된 소견을 보였다. 유합 부위에서 상아질 및 상아세관 구조가 관찰되었으며, 과증식된 백악질 내의 백악세포가 관찰되었다. 유합된 백악질은 양쪽 치아의 상아질과 접하는 소견이 관찰되었다(Fig. 4B). 두 치아가 백악질로 서로 연결되어 있음을 확인하였으며, 최종적으로 유합치로 진단하였다.
- 고찰
- 고찰
유합은 치관이 형성된 후 두 개의 독립된 치아의 치근이 백악질 부위에서 결합된 형태이다[5]. 또한 유합은 상아질의 개입이 없이 양쪽 백악질만이 결합된 것으로, 이는 조직학적 소견을 확인한 이번 증례의 결과와 일치한다(Fig. 4). 유합은 치근 형성 과정 중 또는 치근단 완성 후에도 일어날 수 있다. 치근 형성 과정 중 일어나는 유합을 일차 또는 진성 유합, 치근 형성 후에 일어난 유합을 이차 또는 획득(acquired) 유합이라고 한다. 백악질의 결합인 유합은 구치부, 상악에서 호발하며 상악 제2대구치와 매복 제3대구치 간의 유합이 종종 보고되었다[9,10]. 드물지만 하악에서 매복 제3대구치와 과잉치가 유합된 드문 증례도 있다[11,12]. 또한 상악 전치부에 발생한 3개 치아의 유합도 보고되었다[13]. 유합의 정확한 원인은 밝혀지지 않았으나 발달 중 공간의 부족으로 인한 치배의 변위, 국소적인 외상, 과도한 교합력, 치근 완성 후 감염 등이 원인으로 알려져 있다[1]. 또한 유합의 발생 빈도는 나이나 성별, 인종 등과 관계가 없는 것으로 보고되었다[1,11].유합은 치관이 형성된 후 발생하므로 치관부가 정상적으로 관찰되어 임상적으로 진단이 쉽지 않다. 다양한 각도에서 촬영된 방사선사진에서도 유합된 두 치아가 단지 겹쳐 있는 것으로 오인하기 쉽다. 이 증례에서도 발거된 치아의 치근단방사선 사진을 통해 두 치아 사이에 치간골이나 치주인대가 존재하지 않는 것을 확인할 수 있었다(Fig. 3B). 이전의 연구들은 술 전 방사선사진이나 유합치의 발치 후 임상사진을 위주로 보고하였으나[9-12], 최근 술 전 CBCT가 포함된 유합치 진단의 증례가 보고되었다[7,8]. 그러나 국내에서 보고된 증례는 거의 없어 이번 증례에서 유합치의 술 전 CBCT영상을 평가하고, 발치 후 유합치의 유합 부위를 조직학적으로 평가하였다. 한 방향만이 아닌 여러 방향으로 관찰할 수 있는 CBCT는 유합치를 발견할 수 있는 확률을 높인다. 백악질은 과백악질증으로 인하여 두꺼워지는 경우가 아니면 CBCT에서 관찰하기 용이하지 않으며, 이는 치근을 이루고 있는 상아질과 다른 방사선학적 흑화도를 보이는 층(layer)으로 관찰되는 것으로 보고되었다[14]. 과백악질증이 없는 치아의 융합은 상아질과 백악질의 방사선학적 흑화도의 유사성 및 백악질의 매우 얇은 구조(치경부 16∼60㎛, 치근단부 150∼200㎛)로 인하여 CBCT에서도 유합과 구별이 어려운 한계가 있다. 본 증례의 경우 CBCT에서 상악 우측 제2대구치와 제3대구치의 과백악질증으로 인해 두꺼워진 백악질이 서로 붙어있는 것으로 확인되었다(Fig. 2). 술 전 CBCT 관찰을 통해 발거할 두 치아의 유합을 더 정확하게 예측하였고, 이에 발치 시 유의하여 상악결절의 파절, 두 치아의 분리, 치아의 부분적 파절 없이 발치를 시행하였다. 발거된 치아의 조직학적 검사에서 두 치아 사이에 백악질이 관찰되어 유합을 확진하였다(Fig. 4).유합치가 임상적으로 병적인 상태가 아니라면 발치는 요구되지 않는다[1,3]. 그러나 이번 증례와 같이 병적인 상태의 해결을 위해 발치, 근관 치료, 교정 치료, 치주 치료 등을 시행해야 하는 경우 방사선사진에서 두 개의 치아가 근접하거나 겹쳐 보이는 경우 면밀한 관찰이 요구된다. 유합치의 치료 과정에서 진단 실패 시 치조골 골절이나 상악동 천공과 같은 예기치 못한 합병증이 발생할 수 있다[15]. 유합된 두 치아 중 하나의 치아만 병소에 이환되었거나 치주 치료, 교정 치료 등이 필요하다면 유합치를 분리해서 발치하는 것도 가능하다[8,16]. 따라서 치근단방사선영상 또는 파노라마방사선영상에서 치근부의 근접이나 겹침이 관찰될 경우 CBCT를 이용한 상태의 판단은 치료 방법의 선택이나 예후 등에 영향을 미치므로 임상적으로 중요하다고 사료된다.
- NOTES
- NOTES
Figure 1.
A. A panoramic radiograph at the last visit. Vertical absorption of alveolar bone around the maxillary second molar on the right side is observed, and bone resorption progressed to the root of the tooth can be confirmed. B. First visit panoramic radiograph (12 years ago). The root of the second molar and the third molar on the right side of the maxilla are close to each other, and the third molar is impacted horizontally.
Figure 2.
A. Cone-beam computed tomographic 3-dimensional reconstruction image. B. Panoramic view. C. Cross-sectional view. D. Axial view. E. Cross-sectional image shows that the two teeth are attached to each other and the roots have a bulbous appearance due to hyperproliferated cementum.
Figure 3.
Clinical photograph of the tooth taken after extraction. It can be seen that the two teeth are attached to each other at the root. B. Periapical radiograph of the tooth taken after extraction (EzSensor; VEX-S300C, Vatech, Korea). Inside of the root is more radiopaque than the outside. The low radiopaque parts of the outside of the two teeth are attached to each other.
Figure 4.
Hematoxylin and eosin (H&E)–stained photomicrograph of the concrescent tooth specimen. A. Based on the central region, the two teeth are fused at nearly a right angle, and cross-section of the roots shows different cutting directions (x40). B. Specimen shows dentin, dentinal tubule, and cementocyte in the hyperproliferated cementum. The concrescence of the cementum in contact with the dentin of both teeth is observed (x100).
- REFERENCES
- REFERENCES
- 1. Romito LM. Concrescence: report of a rare case. Oral Surg Oral Med Oral Pathol Oral Radiol Endod 2004; 97: 325–327.
[Article] [PubMed]2. Grover PS, Lorton L. Gemination and twinning in the permanent dentition. Oral Surg Oral Med Oral Pathol 1985; 59: 313–318.
[Article] [PubMed]3. Killian CM, Croll TP. Dental twinning anomalies: the nomenclature enigma. Quintessence Int 1990; 21: 571–576.
[PubMed]4. Tannenbaum KA, Alling EE. Anomalous tooth development. Case reports of gemination and twinning. Oral Surg Oral Med Oral Pathol 1963; 16: 883–887.
[PubMed]5. McCoy-Collins RA, Tatum RC, Marfatia-Rege A. Fused maxillary second and third molars: report of a rare case with literature review. J Md State Dent Assoc 1988; 31: 102–105.
[PubMed]6. Woźniak Ł, Łukaszuk K, Antonowicz B, Szarmach J, Borys J. Concrescent teeth: extraction implications - a case report. Open Dent J 2022; 16: e187421062201311.7. Ono M, Shimizu O, Ueda K, Hashimoto J, Shiratsuchi H, Yonehara Y, et al. A case of true concrescence diagnosed with cone-beam CT and in vivo micro-CT. Oral Radiol 2010; 26: 106–109.
[Article]8. Consolaro A, Hadaya O, Miranda D, Consolaro RB. Concrescence: can the teeth involved be moved or separated? Dental Press J Orthod 2020; 25: 20–25.
[Article] [PubMed] [PMC]9. Khanna S, Sandhu SV, Bansal H, Khanna V. Concrescence - a report of two cases. Int J Dent Clin 2011; 3: 75–76.10. Xu Y, Sun J. Concrescence of the right maxillary second and third molars: a case report. Clin Case Rep 2022; 10: e05824.
[Article] [PubMed] [PMC]11. Gunduz K, Sumer M, Sumer AP, Gunhan O. Concrescence of a mandibular third molar and a supernumerary fourth molar: report of a rare case. Br Dent J 2006; 200: 141–142.
[Article] [PubMed]12. Arun Kumar KV, Deepa D. Concrescence of impacted mandibular third molar with a fourth molar. CODS J Dent 2015; 7: 48–49.
[Article]13. Sharma U, Gulati A, Gill NC. Concrescent triplets involving primary anterior teeth. Contemp Clin Dent 2013; 4: 94–96.
[Article] [PubMed] [PMC]14. Ohbayashi N, Wamasing P, Tonami K, Kurabayashi T. Incidence of hypercementosis in mandibular third molars determined using cone beam computed tomography. J Oral Sci 2021; 31: (63):179–183.
[Article] [PubMed]15. Badjate SJ, Cariappa KM. Concrescence: report of rare complication. N Y State Dent J 2008; 74: 56–57.
[PubMed]
