Home
E-Submission
Sitemap
Contact Us
ABOUT
Aims and Scope
About the Journal
Editorial board
Open Access
Contact us
BROWSE ARTICLES
All Issues
Current Issue
Most Read Articles
Most Download Articles
Most Cited Articles
Search
Author Index
EDITORIAL POLICY
Research and Publication Ethics
FOR CONTRIBUTORS
Instructions for Authors
E-Submission
Search
Author Index
Page Path
HOME
BROWSE ARTICLES
Author Index
Author
Su-Hyun Park
1 Article
Case Report
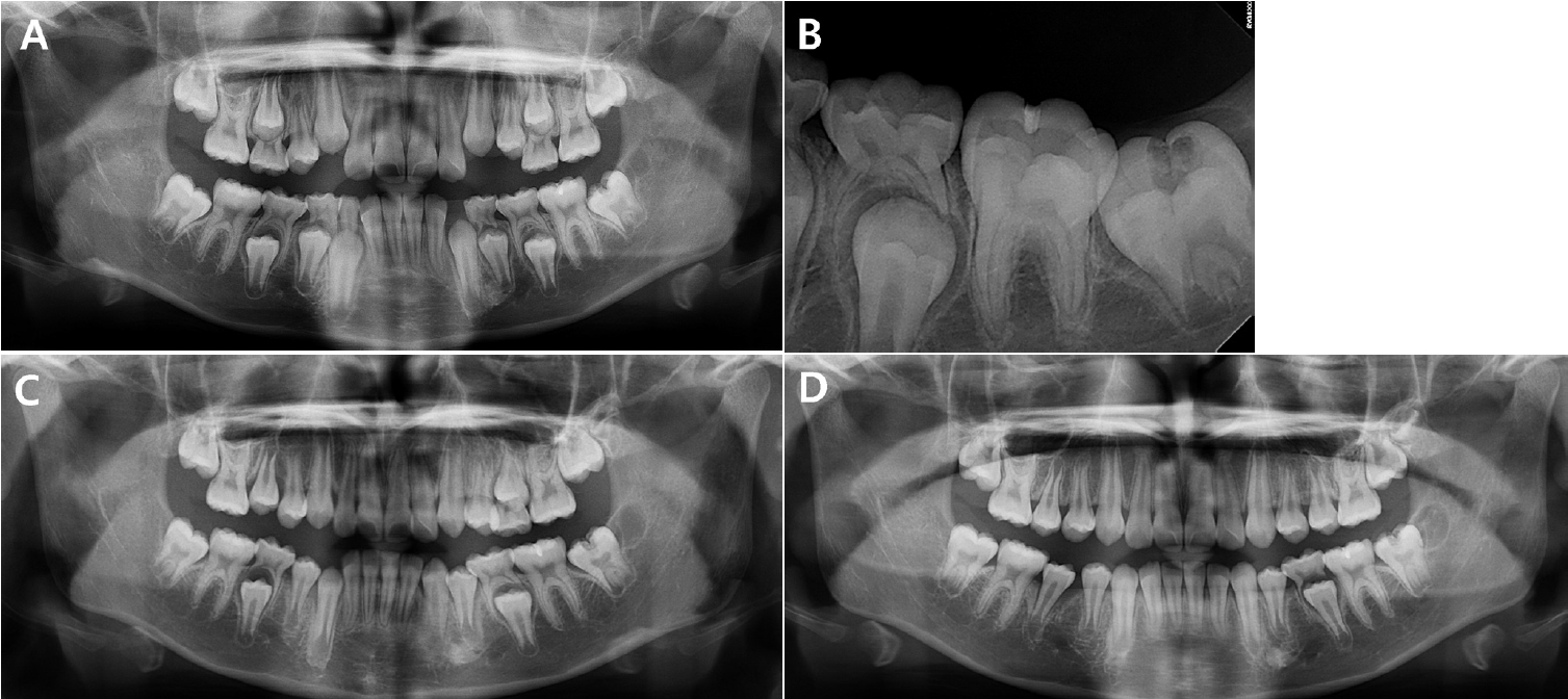
맹출 전 치관 내 흡수 치아의 수복 치료: 증례 보고
Su-Hyun Park, Myeong-Kwan Jih, Nan-Young Lee
J Korean Dent Assoc.
2025;63(12):399-405. Published online December 31, 2025
DOI:
https://doi.org/10.22974/jkda.2025.63.12.003
Full text
PubReader
ePub
PDF
Journal of Korean
Dental Association
Print ISSN: 0376-4672
Online ISSN: 2713-7961
MOST VIEWED
MOST CITED
2,390
A study on regional distribution and changes in the Korean dentist workforce
1,893
Dental education toward 2050 in Korea
1,369
Comparison of marginal and internal fit of zirconia crowns fabricated by three-dimensional printing with different offset parameters: A preliminary pilot study
1,297
Necessity of Anatomy Education for Dental School Students Utilizing 3D and Virtual Reality Technologies: A Narrative Review
1,270
A Novel Approach to Treat Dental Implant-related Maxillary Sinusitis via Intentional Oroantral Fistula: Case Series
+more
Cited By
3
A study on regional distribution and changes in the Korean dentist workforce
Cited By
1
Endodontic treatment in the management of cracked tooth
Cited By
1
Necessity of Anatomy Education for Dental School Students Utilizing 3D and Virtual Reality Technologies: A Narrative Review
Cited By
1
Survey of dental students’ perception of ubiquitous-based test (UBT)
Cited By
1
Dental education toward 2050 in Korea
+more